烤瓷牙的价格多少?岁月无情但是有痕,总是要给我们留下些东西才能展示出它的强大力量,而表现在牙齿方面就变为牙齿的缺损、畸形、变色等等情况,改变这些状况的方法大多数朋友都会选择烤瓷牙,那么烤瓷牙的价格是多少呢?
中韩·唯美口腔专家介绍:烤瓷牙是由内冠和外面的瓷层组成的,由于其内冠材料的不同,更好的烤瓷牙多少钱也存在很大的差异。而对于同样的材质,制作工艺也不一样,做出来的烤瓷牙的形态、颜色、品质也不尽相同,所以也会影响烤瓷牙的价格。另外,烤瓷牙的优点决定了更好的烤瓷牙多少钱。
烤瓷牙价格高主要有两个原因,一是烤瓷牙适用范围广,所以更好的烤瓷牙多少钱备受关注。个别牙不整齐,牙缝过宽、断牙、缺牙、四环素牙、牙釉质发育不全、畸形牙等都可以通过烤瓷牙来修复.二是烤瓷牙修复美观逼真,这也是决定郑州更好的烤瓷牙多少钱的一个重要因素。什么样的烤瓷牙方式适合你呢?点击在线咨询直接与专家对话了解详情!
一个好的烤瓷牙,有赖于临床工程师规范的操作,正确的设计,专业的修复理论和技师的密切配合等,否则将难以达到理想的修复效果.一般来说经过正规医师严格、规范、正确的操作、设计、制作,这样不仅能够保证其效果,同时也可以可以保证烤瓷牙的价格。推荐阅读:3D全瓷牙
烤瓷牙更好的方法——3D全瓷牙
韩·唯美口腔拥有的3D全瓷牙采用更高端的氧化锆材料,运用先进的CT三维数字扫描技术、电脑智能CAD/CAM系统设计,在短时间内根据患者的口腔条件、脸型、肤色,量身定做个性化全瓷牙修复美容方案。3D全瓷牙拥有完美的精密度;具有真牙相匹配的透光性,色泽逼真,可媲美自然牙;良好的生物相容性,对牙龈无刺激;强度绝佳,强度超出真牙,拥有卓越的咬合力量,无不良金属离子渗出,磨牙较少,更大程度地保留原有的牙齿组织,所以能达到更佳的美齿效果及与软组织的更舒适接触。点击在线咨询,了解全瓷牙的优惠活动,在线预约可享更多优惠!
中韩·唯美口腔牙齿修复专家推荐
莫三心教授,主任医师,硕士研究生导师。唯美口腔特邀专家,河南省口腔医学领域知名专家、郑州大学知名教授。精湛技术:牙齿种植、口腔修复、牙齿美容修复曾多次获得卫生部及省市各级表彰。主编多部并且参与编写多部国家医学教材,发表学术论文20余篇。擅于口腔修复,并涵盖口腔专业各个领域,可谓是大师级的口腔专家,在国内口腔界享有很高的声望。
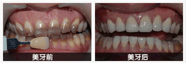
中韩·唯美口腔牙齿修复前后对比图

中韩·唯美口腔医院诊疗中心推出网络挂号预约系统,在网站上挂号成功后可减免专家挂号费,并有优惠。预约时间就诊更方便快捷,省去看专家要排队的烦恼。
相关感兴趣文章
豫公网安备 41010502002633号
免责声明:本网站近期将进行改版,网站所有内容及图片不做为任何法律依据。如有违反或者侵权,请及时联系更改。
网站医疗信息仅供参考,不能作为诊断及医疗依据 本网站内容部分来源转载于网络,不能作为任何法律依据!
请注意时效性,望知悉。如有违反或者侵权,请及时联系更正。