做一颗烤瓷牙多少钱?经过时光的打磨,牙齿难免的就会出现这样那样的问题,修复牙齿问题常用的方法就是烤瓷牙。那么关于烤瓷牙的价格,你知道多少呢?下面我们跟随郑州知名口腔科专家来了解一下。
做一颗烤瓷牙多少钱?中韩·唯美口腔专家指出,烤瓷牙的种类繁多,不同的烤瓷牙价格有所不同。这些烤瓷牙价格都是不同的,可以这么说,从普通烤瓷牙到金属烤瓷牙,价格几百到几千不等。专家指出,烤瓷牙治疗时间很短, 1周的时间,它适合的人群也是十分广的:重度氟斑牙、四环素牙、牙齿有裂纹、釉质发育不全、残缺缺失、前牙有间隙、坑洞的严重个例。
它的优点也很多:烤瓷牙保持时间长,效果好,美观,边缘密封性,极高强度,保护牙体、牙髓。较好的医院进行烤瓷牙技术依据每个人的五官、嘴唇、牙齿外形、性别、年龄、职业等情况进行精心的个性化设计和精密的尺寸测量,做好临床的制备,提供给专科技师精确无误的烤瓷牙模型。通过利用黄金分割后确定的烤瓷牙比例,不仅能增加微笑时嘴角的平衡性,微笑更自然,更富有生命力和灵魂,还能让修复后的牙齿变得舒服、好用。推荐阅读:3D全瓷牙
通过以上对做一颗烤瓷牙多少钱的介绍,现在您都清楚了吧!从上文中我们可以看出,它的价格是没有一个固定的数字的,若您想要清楚地了解烤瓷牙的价格,不妨直接与我们的在线专家咨询。
中韩·唯美口腔拥有的3D全瓷牙采用更高端的氧化锆材料,运用先进的CT三维数字扫描技术、电脑智能CAD/CAM系统设计,在短时间内根据患者的口腔条件、脸型、肤色,量身定做个性化全瓷牙修复美容方案。3D全瓷牙拥有完美的精密度;具有真牙相匹配的透光性,色泽逼真,可媲美自然牙;良好的生物相容性,对牙龈无刺激;强度绝佳,强度超出真牙,拥有卓越的咬合力量,无不良金属离子渗出,磨牙较少,更大程度地保留原有的牙齿组织,所以能达到更佳的美齿效果及与软组织的更舒适接触。点击在线咨询,了解全瓷牙的优惠信息!在线预约可享更多优惠!
中韩·唯美口腔牙齿美容专家推荐

艾西川,主任医师,精湛技术:颌面外科、牙齿美容、1小时德国西诺德CAD/CAM3D齿雕全瓷修复。毕业于中国口腔著名学府——西安第四军医大学,原南京军区口外知名专家,郑州市口腔医院院长。从事口腔全科临床工作三十余年,对口腔内外科有丰富的临床经验,拥有万例成功案例。曾获市级科研成果奖两项,省级三项,多部专著被列为医大教材,在国内外知名刊物上发表专业论文20余篇,多次应邀参加国内外口腔大型研讨会,于口腔治疗方面有独到的治疗方法,深受客人好评。
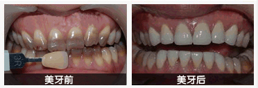
中韩·唯美口腔牙齿美容前后对比图

在线咨询,一分钟预约挂号,医务人员将会与您一对一进行沟通。中韩·唯美口腔有中国更专业的网上挂号平台,为您提供更便捷的预约就诊服务,为您推荐全国资质更深、技术更好的治疗专家,让你从此刻开始摆脱疾病的困扰。
相关感兴趣文章
豫公网安备 41010502002633号
免责声明:本网站近期将进行改版,网站所有内容及图片不做为任何法律依据。如有违反或者侵权,请及时联系更改。
网站医疗信息仅供参考,不能作为诊断及医疗依据 本网站内容部分来源转载于网络,不能作为任何法律依据!
请注意时效性,望知悉。如有违反或者侵权,请及时联系更正。