全瓷牙一颗多少钱?相信牙齿不整或牙齿缺失的您一定有咨询过全瓷牙一颗多少钱吧!那你有没有找到您想要的答案呢?如果没有,那么就让郑州唯美口腔医院的专家为我们说下影响全瓷牙一颗多少钱的因素都有哪些。
决定全瓷牙价格的因素
1、医院的选择:每家医院资质不同,所拥有的医疗技术、设施、环境以及服务等都有一定的差异,这决定了全瓷牙一颗多少钱的同时也影响了全瓷牙的质量保障,所以求美者一定要慎重选择医院。
2、全瓷牙制作的材料:目标全瓷牙的制作材料主要有这几种氧化铝全瓷牙、铸造全瓷牙、二氧化锆全瓷牙。全瓷牙的共同特点都是由陶瓷材料组成的,不含一点金属的材料,不会对牙龈产生刺激。虽然这三种材料都有全瓷牙一样的共性,但是因为组成的材料是不一样的,所以说选择不同材料的全瓷牙的价格就不同了。
3、全瓷牙的加工:全瓷牙加工工艺等都直接影响了全瓷牙的效果,也就间接的影响了全瓷牙多少钱一颗。一般来讲,全瓷牙有分国产和进口两种。在工艺上与进口的还是有一定的差距的。所以所做的全瓷牙的价格也是不一样的。想了解中韩·唯美口腔全瓷牙具体价格,点击在线咨询,在线医生给你一个准确的答复!
中韩·唯美口腔技术推荐——3D全瓷牙
中韩·唯美口腔拥有的3D全瓷牙采用更高端的氧化锆材料,运用先进的CT三维数字扫描技术、电脑智能CAD/CAM系统设计,在短时间内根据患者的口腔条件、脸型、肤色,量身定做个性化全瓷牙修复美容方案。3D全瓷牙拥有完美的精密度;具有真牙相匹配的透光性,色泽逼真,可媲美自然牙;良好的生物相容性,对牙龈无刺激;强度绝佳,强度超出真牙,拥有卓越的咬合力量,无不良金属离子渗出,磨牙较少,更大程度地保留原有的牙齿组织,所以能达到更佳的美齿效果及与软组织的更舒适接触。推荐阅读:3D全瓷牙
中韩·唯美牙齿美容修复专家推荐

艾西川,副主任医师,精湛技术:颌面外科、牙齿美容、1小时德国西诺德CAD/CAM3D齿雕全瓷修复。毕业于中国口腔著名学府——西安第四军医大学,原南京军区口外知名专家,郑州市口腔医院院长。从事口腔全科临床工作三十余年,对口腔内外科有丰富的临床经验,拥有万例成功案例。曾获市级科研成果奖两项,省级三项,多部专著被列为医大教材,在国内外知名刊物上发表专业论文20余篇,多次应邀参加国内外口腔大型研讨会,于口腔治疗方面有独到的治疗方法,深受客人好评。点击在线咨询。了解全瓷牙的优惠信息!
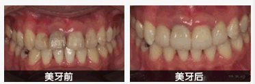
中韩·唯美口腔3D全瓷牙修复案例
随着医疗技术的发展,全瓷牙的材料也越来越多。很多人都以为更贵的材料就是更好的,其实只有更适合的才是更好的!如果你想了解下自己合适做哪种全瓷牙,可以免费在线咨询下中韩·唯美口腔医院的专家,我院专家将会给您耐心的,详细的解答,并给您一个满意的答复!
相关感兴趣文章
豫公网安备 41010502002633号
免责声明:本网站近期将进行改版,网站所有内容及图片不做为任何法律依据。如有违反或者侵权,请及时联系更改。
网站医疗信息仅供参考,不能作为诊断及医疗依据 本网站内容部分来源转载于网络,不能作为任何法律依据!
请注意时效性,望知悉。如有违反或者侵权,请及时联系更正。