欢迎进入郑州市金水区唯美口腔

郑州唯美口腔医院周年庆预约专家

郑州唯美口腔医院周年庆在线咨询

郑州唯美口腔医院周年庆免费咨询热线 0371-55019113

网站首页 > 郑州牙齿修复 > 全瓷牙 >
郑州唯美口腔医院

全瓷牙的优点主要表现在哪里呢

来源 :郑州唯美口腔医院        时间:2015-01-14 17:53:12 进入专家答疑区 在线咨询 | 预约专家
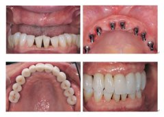
  全瓷牙的优点主要表现在哪里呢?很多问题牙患者朋友选择全瓷牙进行牙齿修复治疗,其出众的效果深受广大患者朋友的认可与喜爱。但是,部分患者朋友对全瓷牙还不是特别了解,那么,究竟全瓷牙的优点主要表现在哪里呢?下面由郑州唯美口腔医院的专家来给我们讲解一下。全瓷牙的优点主要表现在哪里呢?
 
  郑州全瓷牙哪家好郑州唯美口腔医院专家介绍,全瓷牙的优点:
 
  1、透明:这是烤瓷牙不可能完成的任务,因为金属内冠的不透明,需用不透明瓷遮盖金属基底,影响修复体的透明度,使得烤瓷美容后有明显的白垩色、苍白。全瓷牙则用良好的透明性与折光性及高强度的内冠解决了这一美容顽症,使牙颈部也能达到良好的美观效果。
 
  2、牙龈健康:镍铬金属又称贱金属,对牙龈有较严重的刺激,部分人(尤其是女性)对其过敏,造成牙龈肿胀、出血,甚至有患者对贵金属也过敏;全瓷牙则基本没有发现敏感病例。
 
  3、牙龈变色:金属在口腔内氧化形成灰色氧化物,沉积到牙龈边缘,引起牙龈变灰,影响美观;全瓷牙没有这种问题。推荐阅读:郑州做全瓷牙的优点表现在哪里
 
  4、内外冠结合:金属和瓷的结合是薄弱的一环,经常可以见到瓷和金属剥离,露出灰黑的金属的情况。全瓷牙则是内外冠都是瓷,瓷和瓷的结合不会出现这种情况。
 
  5、不会造成磨损:烤瓷冠的硬度大于牙釉质,可造成对颌牙的磨损。而全瓷牙的硬度与牙釉质近似,不对颌牙造成磨损。
 
  全瓷牙的优点主要表现在哪里呢?郑州唯美口腔医院拥有的3D数码全瓷牙采用更高端的氧化锆材料,运用先进的CT三维数字扫描技术、电脑智能CAD/CAM系统设计,在短时间内根据患者的口腔条件、脸型、肤色,量身定做个性化全瓷牙修复美容方案。3D数码全瓷牙拥有完美的精密度;具有真牙相匹配的透光性,色泽逼真,可媲美自然牙;良好的生物相容性,对牙龈无刺激;强度绝佳,强度超出真牙,拥有卓越的咬合力量,无不良金属离子渗出,磨牙较少,更大程度地保留原有的牙齿组织,所以能达到更佳的美齿效果及与软组织的更舒适接触。
 
  郑州牙科医院温馨提醒:如果您还有其他疑问请点击郑州唯美口腔医院在线咨询专家为您做详细的解答,在这里您将得到想要的蜕变答案,而且专家会根据您的实际情况为您推荐更好的治疗方案并为您申请相关的优惠。爱生活·从齿开始,郑州唯美口腔竭诚为您服务。

浏览本篇文章的网友

27%
选择了:郑州唯美口腔医院
在线医师坐诊,快速悉知病情!
39%
选择了:郑州唯美口腔医院
在线医师坐诊,快速悉知病情!
分享到:郑州唯美口腔医院
郑州唯美口腔医院

扫一扫
把郑州唯美
加为好友

郑州唯美口腔医院

相关感兴趣文章

种植牙的优点有哪些?

种植牙的优点有哪些?

随着口腔行业的不断发展,种植牙被越来越多的人熟知,...[详情]

种植牙体安什么牙好

种植牙体安什么牙好

一颗种植牙主要分为种植体、基台和牙冠三部分。而选择好的种植牙材料主要分为种植体的选择......[详情]

二氧化锆全瓷牙修复牙齿

二氧化锆全瓷牙修复牙齿

二氧化锆全瓷牙修复牙齿,烤瓷牙是目前修复牙齿问题的理想方式之一,具有美牙不拔牙,咀嚼......[详情]

补牙在哪家医院比较好

补牙在哪家医院比较好

补牙是针对蛀牙进行有效的牙齿修复方式,所以很多蛀牙患者为了牙齿挤口腔健康想去口腔医院......[详情]

唯美品牌
郑州唯美口腔医院
  • 时间:10月20日
  • 摘要:唯美口腔加入郑州人民医院医疗集团
  • 地点:郑州唯美口腔
  • 详情 → 咨询 →
郑州唯美口腔医院
  • 时间:每周一、周五亲诊
  • 摘要:矫正专家亲诊
  • 地点:郑州唯美口腔
  • 详情 → 咨询 →
特邀专家

有牙齿困扰 在线找专家

专家热线:0371-55019113

专家团队
精彩专题
> 微创即刻种植牙
> 隐适美隐形矫正
> 360°彩光美白
> 超薄牙贴面
> 3D全瓷牙

豫公网安备 41010502002633号

免责声明:本网站近期将进行改版,网站所有内容及图片不做为任何法律依据。如有违反或者侵权,请及时联系更改。

网站医疗信息仅供参考,不能作为诊断及医疗依据 本网站内容部分来源转载于网络,不能作为任何法律依据!

请注意时效性,望知悉。如有违反或者侵权,请及时联系更正。