欢迎进入郑州市金水区唯美口腔

郑州唯美口腔医院周年庆预约专家

郑州唯美口腔医院周年庆在线咨询

郑州唯美口腔医院周年庆免费咨询热线 0371-55019113

网站首页 > 郑州牙齿种植 > 郑州前牙种植 >
郑州唯美口腔医院

刚拔完牙能做种植牙吗

来源 :郑州唯美口腔医院        时间:2013-04-23 14:44:54 进入专家答疑区 在线咨询 | 预约专家

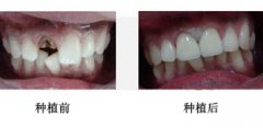
  刚拔完牙能做种植牙吗?现在种植牙已经成为了那些拔完牙的理想修复方法。很多刚拔完牙齿的患者都想知道自己什么时间可以进行种植牙。如果按照以前患者拔完牙要等几个月后再进行种植牙,而这中间时间让很多人无法接受。那么有没有刚拔完牙能做种植牙?让我们一起请种植专家为我们介绍下:

  一般情况下拔牙后2~3个月左右种植牙比较合适。因为拔完牙后创口愈合牙槽骨需要一个吸收的过程,大概两个月以后才能稳定。如果创口没有长好就种植牙,容易造成种植牙松动而不稳固,容易脱落。种植医生会根据你的个人条件设计针对你牙齿情况的种植方案。那就没有刚拔完牙做种植牙的了吗?那些渴望马上有一口整齐牙齿的人不能实现他们的愿望了吗?

  口腔医院专家表示:一般情况下刚拔完牙后不能马上做种植牙。但随着种植牙技术不断的发展,新技术的运用让种植牙过程变得更为简洁。即刻种植技术的出现,让很多想要刚拔完牙能做种植牙的人实现了他们渴望已久的愿望。但是对于即刻种植牙的要求也比较高,要求拔除的残根,必须没有感染存在,以免种植体植入后的发生感染,因为目前所使用的种植体均为柱状形,比较适合与单根牙拔出后的牙槽窝,实现刚拔完牙能做种植牙的地步。推荐阅读:郑州唯美种植牙 牙齿缺失即刻种植

  专家提醒广大朋友,种植牙的修复术是一项具有"高,精,尖"特点的技术,只有拥有高标准的技术和设备条件的专业机构才能开展此项手术,郑州唯美口腔医院种植中心是河南省内成立更早、技术更精湛、服务更完善的高档种植牙中心,在河南更早引进Nobel即刻种植系统,中韩种植牙知名专家联袂合作,打造先进种植牙黄金团队,以先进种植修复技术献礼中原,如果您还有想要了解的情况,可以点击我们的在线咨询,也可以来医院详细咨询就诊。

浏览本篇文章的网友

27%
选择了:郑州唯美口腔医院
在线医师坐诊,快速悉知病情!
39%
选择了:郑州唯美口腔医院
在线医师坐诊,快速悉知病情!
分享到:郑州唯美口腔医院
郑州唯美口腔医院

扫一扫
把郑州唯美
加为好友

郑州唯美口腔医院

相关感兴趣文章

什么是种植牙?唯美齿科专家为您解答

什么是种植牙?唯美齿科专...

随着种牙技术的发展,“种植牙”这个新概念开始走进人们的生活,医学专家也给予极高评价...[详情]

什么是种植牙齿

什么是种植牙齿

种植牙,相信对于大家来说已经是耳熟能详了,种植牙手术也是目前大家认为最好的修复牙齿缺......[详情]

即刻种植牙的效果怎样

即刻种植牙的效果怎样

植牙手术主要是为了补救缺失的牙齿,但是普通的种植牙,需要花上面几个月时间...[详情]

无痛即刻种植牙 让缺失的牙齿重生

无痛即刻种植牙 让缺失的...

无痛即刻种植牙 让缺失的牙齿重生!对于牙齿缺失的朋友而言,及时修复是非常重要的事情。......[详情]

唯美品牌
郑州唯美口腔医院
  • 时间:10月20日
  • 摘要:唯美口腔加入郑州人民医院医疗集团
  • 地点:郑州唯美口腔
  • 详情 → 咨询 →
郑州唯美口腔医院
  • 时间:每周一、周五亲诊
  • 摘要:矫正专家亲诊
  • 地点:郑州唯美口腔
  • 详情 → 咨询 →
特邀专家

有牙齿困扰 在线找专家

专家热线:0371-55019113

专家团队
精彩专题
> 微创即刻种植牙
> 隐适美隐形矫正
> 360°彩光美白
> 超薄牙贴面
> 3D全瓷牙

豫公网安备 41010502002633号

免责声明:本网站近期将进行改版,网站所有内容及图片不做为任何法律依据。如有违反或者侵权,请及时联系更改。

网站医疗信息仅供参考,不能作为诊断及医疗依据 本网站内容部分来源转载于网络,不能作为任何法律依据!

请注意时效性,望知悉。如有违反或者侵权,请及时联系更正。