活动矫正器是牙齿矫正中常见的矫正器。患者可以根据场合自行摘戴,给它的清洁带来很多便利。在牙齿矫正过程中,矫正器扮演着十分重要的角色。那么,活动矫正器是什么,它又有哪些功能呢?
牙齿矫正中活动矫正器:
含义:所谓活动矫正器是指附于牙齿或黏膜上,求美者和医生都可以随意摘下或戴上的矫正装置,因而又称可摘矫正器。它是由基托、固位体、各种弹簧所组成。活动矫正器种类有很多,如普通活动矫正器、功能性矫正器、环托矫正器等。
优点:活动矫正器的优势在于求美者能自行摘戴,便于洗刷,以保持矫正器和口腔卫生。矫正力可因矫正器离位而消失,可避免损伤牙体牙周组织,如感觉不适或疼痛时,求美者可自行取下。不影响美观,一些特殊场合可暂不戴用或晚间戴用即可。且构造简单,设计合理,制作容易。调整加力适宜,能矫正一般常见的错颌畸形。
缺点:然而因为活动矫正的相对灵活性,它的固位和效果就相对较差,在控制牙移动能力不如固定矫正器,牙齿移动方式多为倾斜移动,整体移动难,对牙齿移动的方式有一定的局限性。基托容易影响舌的活动而影响发音,造成口齿不清楚,并有异物感。而且求美者常常不能坚持戴用,影响了矫正的效果。推荐阅读:韩式隐形正畸
中韩·唯美口腔韩式隐形正畸技术推荐
唯美口腔率先引进的韩式隐形正畸技术继承了传统的牙颌畸形矫治的理念,是现代口腔医学、计算机辅助四维诊断、个性化设计及数字化成型技术的完美结合,是正畸领域的新突破。韩式隐形正畸由中韩齿科专家联合坐诊,实现全程无痛无创快速疗法,专门治疗各种牙齿排列不整齐,咬合错位等牙齿形态问题,还你一口整齐、坚固耐用的健康原牙。该技术是完全个性化的设计理念,可根据正畸者的情况佩带不同的矫治器,完全不影响正畸者的生活。具有隐形高效,稳定美观的特点,并且大大地缩短了疗程,使治疗时间缩短近三分之一,复诊时间缩短二分之一,为正畸者大大节省了时间,透明隐形正畸矫正矫治器厚度不到1mm,透明、光滑、舒适,无异物感和粘膜刺激,是目前更受欢迎和信赖的美齿项目。点击在线咨询,了解牙齿矫正的各项优惠活动,在线预约可享更多优惠!
中韩·唯美口腔牙齿矫正专家推荐

李玉如,口腔正畸科。副教授,副主任医师,硕士生导师,口腔医学正畸专业硕士。1991年毕业于中山医科大学口腔系,一直从事口腔正畸的临床、教学和科研工作,临床经验丰富,并注重知识的学习更新,2004年硕士学位毕业。擅长正畸科各类牙颌畸形及疑难病例的矫治,对青少年反牙合、开牙合、功能性矫治、阻生牙的导萌牵引及成年人牙颌畸形、牙周病的正畸治疗有良好的疗效。
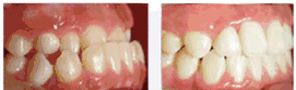
中韩·唯美口腔牙齿矫正前后对比图

温馨提示:如果您觉得我们的文章并没有解释得很清楚,或有其他问题,您可以点击我们的在线咨询专家。中韩·唯美口腔会给您一个专业的分析,详细的解答,并给您一个满意的答复!
相关感兴趣文章
豫公网安备 41010502002633号
免责声明:本网站近期将进行改版,网站所有内容及图片不做为任何法律依据。如有违反或者侵权,请及时联系更改。
网站医疗信息仅供参考,不能作为诊断及医疗依据 本网站内容部分来源转载于网络,不能作为任何法律依据!
请注意时效性,望知悉。如有违反或者侵权,请及时联系更正。