欢迎进入郑州市金水区唯美口腔

郑州唯美口腔医院周年庆预约专家

郑州唯美口腔医院周年庆在线咨询

郑州唯美口腔医院周年庆免费咨询热线 0371-55019113

网站首页 > 郑州牙齿种植 >
郑州唯美口腔医院

种植牙的危害有哪些?如何选择有保障的种植牙?

来源 :郑州唯美口腔医院        时间:2016-05-31 12:49:20 进入专家答疑区 在线咨询 | 预约专家
  很多人都想拥有一口健康坚固的牙齿,如果发生牙齿缺失,种植牙是牙齿缺失患者理想的修复方式。在种植牙带来的优势和福音的同时,大家也想全面了解种植牙,种植牙是否有危害?患者是否能避免这些危害呢?河南省专业正规口腔医院  
  
  一、常见的如下六种危害性  
  1.出血:许多牙医告诉患者,出血时正常现象,但种植牙是一种微创手术,种完牙齿后,应该只是少量的出血。如果牙医在粘骨膜剥离时损伤大或粘膜下剥离广泛,尤其是术后压迫不良,是会发生粘膜下或皮下大量出血的。
  
  出血
  
  2.下嘴唇麻木:如果把种植体种到牙槽骨的后面,就会把牙槽骨神经破坏,所以为了保护神经,就把牙种在神经的前面。但牙医在术中剥离时损伤颏神经,或种植体植入时直接创伤了下牙槽神经,那么患者就会出现下嘴唇麻木的情况。  
  3.伤口裂开:种植牙做完以后,医生需要缝合伤口,如果伤口没有缝合好,就有伤口裂开的可能,进而感染口腔,也可能会导致种植牙不稳固。  
  4.伤口感染:如果患者没有选择正规医院进行种植牙的操作,那么可能会有感染的危害。这大多是因为手术时没有做好消毒,或者手术器械的污染所致。  
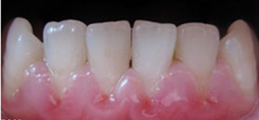
  5.牙龈增生:这是在做种植手术时种植体“牙根”穿龈过少,或“牙根”与桥架连接不良而导致的一种并发症。会造成局部卫生状况差,发生长期的慢性炎性刺激,最后危害结果是牙龈增生。
 
  
  牙龈增生
  
  6.种植牙齿易脱落:一些不正规的牙科诊所在治疗过程中,选择的种植材料没有经过严格的筛选且医师技术有限,严重导致种植牙齿寿命缩短,容易发生脱落的现象,而且缺少后期服务保障。
  
  二、如何避免种植牙危害,专家为您支招!  
  1.选择正规的口腔医院。患者本身的体质问题也会影响到种植牙的质量,专业正规的口腔医院会对患者朋友进行术前的口腔检查,有严格的种植设计方案,确定是否可以做种植牙手术。  
  2.种植后的护理。做完种植牙当日进半流或全流食,一周内不要刷种植牙区域。不吸烟,三个月内避免用种植牙咀嚼硬糖、干果、骨头等需要用力过度的食物。  
  3.注意个人口腔卫生。保持良好的口腔卫生是种植牙成功的重要保证,因此要按时做到有效的口腔清洁不要使用牙签剔牙,使用牙线清除牙齿间隙食物残渣;养成定期洗牙的习惯,最好半年左右洗一次牙。  
  4.及时复诊检查。做完种植牙,要定期去医院复诊,及时发现问题,解决问题,更要防止受到外力撞伤,一旦发生撞伤立即与医生联系。
  
  郑州唯美口腔口腔专家指出:种植牙对于整个口腔来说,属于比较大也很重要的手术,只要选择正规的口腔医院,由临床经验丰富的专家,以及高质量的材质保障,种植牙是非常安全的,不会产生任何的危害。郑州唯美口腔机构拥有专业设备和前沿技术,专业的医生等优势,能帮助您最大限度降低种植手术中的危险。  
  
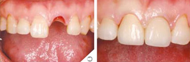
  三、微创即刻种植技术  
  郑州唯美口腔引进的微创种植牙技术特点为微创无痛,采用先进的微创美容治疗技术来完成种植牙的植入过程,切口仅为(2~3毫米),创伤度接近于0,全口种植过程仅需30分钟,而且降低了感染的风险。即拔即种,可将种植体在拔牙同时一次性植入,无需二次开刀种植,种植后可立即吃东西。固位性好、咀嚼功能强大,美观舒适、完全能与真牙相媲美。  
  
  拼专家韩国专家+多位国内名医
 种植技术再强、植体再好,关键还是得找对专家。专家不一样,种植的效果也有很大差距。唯美韩方院长、种植大师郑淳奎博士,拥有20多年的种植经验,在种植界因种植速度快、技术精确、实战经验丰富而闻名,其对无牙颌种植、牙槽骨吸收严重等高难度种植手术也有独特的技术手段。此外,唯美口腔还拥有众多国内种植医师,所有专家都有严格的考核方案,必须达到在99%以上方可种牙,这样的要求,自然能保障效果。
  
  郑州唯美口腔医院温馨提示:种牙一定要选择正规的具有种牙资质的口腔医院,通过阅读以上的内容,你对郑州唯美口腔肯定有了一定的了解,如果有其他疑问,你可点击【在线咨询】,与郑州唯美口腔在线专家进行交流,如果还要顾虑,你可以提前【预约挂号】,到院对郑州唯美口腔进行更深刻的了解,相信郑州唯美口腔一定会让你越了解越信赖!

浏览本篇文章的网友

27%
选择了:郑州唯美口腔医院
在线医师坐诊,快速悉知病情!
39%
选择了:郑州唯美口腔医院
在线医师坐诊,快速悉知病情!
分享到:郑州唯美口腔医院
郑州唯美口腔医院

扫一扫
把郑州唯美
加为好友

郑州唯美口腔医院

相关感兴趣文章

5折种牙抢疯了 行业大咖都选择唯美种牙

5折种牙抢疯了 行业大咖...

有人说,缺损一颗牙,寿命少五年,虽然现实情况并没有如此严重,但是缺牙的影响也是显而易......[详情]

郑州种植牙齿需要多长时间

郑州种植牙齿需要多长时间

郑州种植牙齿需要多长时间,牙齿一旦出现缺失的情况,对我们的工作和生活都会造成一定的影......[详情]

郑州种植牙医院哪家比较好

郑州种植牙医院哪家比较好

郑州种植牙医院哪家比较好,日常生活中,由于龋齿、牙周病、意外事故等因素可导致牙齿缺失......[详情]

郑州导致种植牙松动的原因是什么

郑州导致种植牙松动的原因...

导致种植牙松动的原因是什么,牙齿缺失该怎么办?做种植牙吧,种植牙是目前比较常用的牙齿......[详情]

唯美品牌
郑州唯美口腔医院
  • 时间:10月20日
  • 摘要:唯美口腔加入郑州人民医院医疗集团
  • 地点:郑州唯美口腔
  • 详情 → 咨询 →
郑州唯美口腔医院
  • 时间:每周一、周五亲诊
  • 摘要:矫正专家亲诊
  • 地点:郑州唯美口腔
  • 详情 → 咨询 →
特邀专家

有牙齿困扰 在线找专家

专家热线:0371-55019113

专家团队
精彩专题
> 微创即刻种植牙
> 隐适美隐形矫正
> 360°彩光美白
> 超薄牙贴面
> 3D全瓷牙

豫公网安备 41010502002633号

免责声明:本网站近期将进行改版,网站所有内容及图片不做为任何法律依据。如有违反或者侵权,请及时联系更改。

网站医疗信息仅供参考,不能作为诊断及医疗依据 本网站内容部分来源转载于网络,不能作为任何法律依据!

请注意时效性,望知悉。如有违反或者侵权,请及时联系更正。