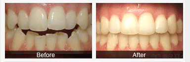
河南牙齿矫正大概要多少钱,所有人都希望自己的牙齿白亮整齐,希望能成为人们口中常说的“贝齿”。但是,大部分人的牙齿总是会出现一些瑕疵,有的人的牙齿不齐拥挤的现象更是严重,这也使得牙齿矫正变得越来越重要。那么成人牙齿矫正的价格呢?河南牙齿矫正大概要多少钱,下面听听郑州唯美口腔医院专家的介绍。

郑州唯美口腔医院专家说,成人牙齿矫正价格有很多不确定因素,但主要是看牙齿的畸形程度来决定矫正方法继而考虑价格。一般来说成人牙齿矫正比儿童要贵,因为成年人牙齿已经基本定型,手术难度上升,牙齿矫正价格也就上升了。而儿童牙齿矫正收费会稍稍降低一点,儿童牙齿矫正成果率较高,手术难度不高。
成人牙齿矫正到底多少钱?
、成人牙齿畸形程度,一般牙齿畸形严重的话矫正就会比较麻烦,医生会建议用美容冠矫正,效果会更好,但美容冠的价格与你选择的美容冠材料有关,一般价格在几百到上千不等。
第二、与选择的牙齿矫正方式有关,不同的方法价格不同,像是传统矫正其用时更久且对外观有一定影响,但其价格更低。
第三、还与地区以及所选的医院有关,一般正规医院的矫正技术与设备都要优于其他诊所,其价格自然也不可能一样。
郑州唯美口腔医院推荐--韩式隐形正畸
韩式隐形正畸是欧洲齿科材料的巅峰之作,采用高弹性纳米材料分子,完全透明隐形,隐蔽性极好,且可以自行摘带矫正器,方便清洁,矫治疗程缩短将近三分之一的时间。可以实现隐形矫牙的梦想,毫无察觉间让牙齿“悄然”变美。
唯美是专业、专注、专一的牙齿美容机构
郑州唯美口腔秉承一贯的品牌形象,打造高端、优美的就诊环境;在专家团队建设上,先后与美国、瑞士、德国、韩国、日本、香港、台湾等地知名的口腔医疗机构开展经验技术交流活动,吸纳、汇聚了诸多国内外着名专家、学者投身于口腔医疗服务事业之中,培养并拥有一支医技精湛的齿科专家团队,逐步形成接轨、领先的口腔美容服务及管理模式。
河南牙齿矫正大概要多少钱,如果您对以上的内容,还有任何不明白的地方,欢迎点击在线咨询,与专家进行一对一交流,同时网上咨询预约,还可享免挂号费,无需排队优先就诊服务。
相关感兴趣文章
豫公网安备 41010502002633号
免责声明:本网站近期将进行改版,网站所有内容及图片不做为任何法律依据。如有违反或者侵权,请及时联系更改。
网站医疗信息仅供参考,不能作为诊断及医疗依据 本网站内容部分来源转载于网络,不能作为任何法律依据!
请注意时效性,望知悉。如有违反或者侵权,请及时联系更正。