欢迎进入郑州市金水区唯美口腔

郑州唯美口腔医院周年庆预约专家

郑州唯美口腔医院周年庆在线咨询

郑州唯美口腔医院周年庆免费咨询热线 0371-55019113

首页 > 郑州牙齿矫正 > 牙齿矫正 >
郑州唯美口腔医院

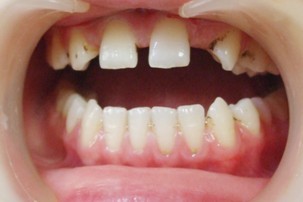
牙齿有缝隙怎么矫正

来源 :郑州唯美口腔医院        时间:2015-07-08 09:55 进入专家答疑区 在线咨询 | 预约专家
  牙齿有缝隙怎么矫正,牙齿有缝隙不仅难看,影响相貌,同时说话漏风,从中国传统风水上来讲,还有漏财的征兆。因此,牙齿有缝隙一定要选择正规的口腔医院进行牙齿矫正。那么,牙齿有缝隙怎么矫正?为此,通过以下我们来进行详细的了解。
牙齿有缝隙怎么矫正
 
  郑州牙齿矫正哪家好?郑州唯美口腔专家介绍,牙齿缝隙大应该及时做牙齿矫正,矫正就是将排列紊乱的牙齿矫正整齐的一种方法。修复效果比较好正畸是适合于任何年龄的朋友。但是青少年的优势比成人的优势大,因为青少年的可塑性比成年人的可塑性强。而且在矫正治疗周期上,青少年的治疗周期明显叫成年人的短。而且在费用上青少年的也明显要比成年人的便宜。
 
  牙齿有缝我们可以采用下面几种方法进行矫正:
 
  1、无托槽隐形矫正:无托槽隐形牙齿矫正,传统牙颌畸形矫正器是在牙齿上粘结称为托槽的小铁片,将矫正弓丝结扎上去,使牙齿发生移动,达到矫正的目的。隐形透明正畸量身定制一系列近乎无法察觉的透明牙托来完成整个矫正疗程。矫正时间需要1年半到两年左右。
 
  2、烤瓷牙:烤瓷牙牙齿矫正它是先用合金制成金属基底,再在其表面覆盖与天然牙相似的低熔瓷粉,在真空高温烤瓷炉中烧结熔附而成,因而有金属的强度和烤瓷全冠的美观。它的特点是能恢复牙体的形态功能,抗折力强且颜色、外观逼真,表面光滑。优点:疗程短,见效快,效果逼真。
 
  3、美容冠:具有美牙不拔牙,不戴牙套,无痛苦,时间短,牙齿坚固,多年后牙龈不会出现黑线等优点,从而达到终生有保障的美牙效果,是目前成人牙齿矫正更新进、更有效的美牙技术。推荐阅读:牙齿矫正需要多长时间才能好
 
  美容冠矫正修复是通过3D数码定位技术,对牙齿的大小、形态、进行调整。口腔相溶性好,物理性能极佳,矫正时间时间短。对成人龅牙、歪牙、牙齿稀疏、四环素牙、氟斑牙、烤瓷牙失败等有非常好的治疗和修复效果。
 
  牙齿有缝隙怎么矫正?通过以上的介绍,想必大家也有了一定的了解。郑州更好的口腔医院郑州唯美口腔是一家专业的口腔医院,拥有先进的技术和经验丰富的口腔专家,可根据患者的具体情况,选择适合的修复方法,从而达到事半功倍的效果。如果对牙齿矫正还有什么不明白的地方,可在线咨询我们的口腔专家。

浏览本篇文章的网友

27%
选择了:郑州唯美口腔医院
在线医师坐诊,快速悉知病情!
39%
选择了:郑州唯美口腔医院
在线医师坐诊,快速悉知病情!
分享到:郑州唯美口腔医院
郑州唯美口腔医院

扫一扫
把郑州唯美
加为好友

郑州唯美口腔医院

相关感兴趣文章

14岁女孩一颗前牙矫正行吗?

14岁女孩一颗前牙矫正行吗?

网友咨询说,女儿今年14岁了,一颗前牙矫正行,但是因为牙齿还没换完的关系,不知道能...[详情]

带牙套多少钱一般

带牙套多少钱一般

大家应该都知道牙套是用来矫正牙齿的,有很多牙齿畸形的人却没有选择佩戴牙套,原因也...[详情]

隐形牙齿矫正有什么不良后果

隐形牙齿矫正有什么不良后果

隐形牙齿矫正有什么不良后果吗,整齐美观的牙齿,可以增加个人的魅力,提升气质。在如...[详情]

矫正牙齿多大年纪合适

矫正牙齿多大年纪合适

牙齿矫正是改善牙齿畸形最有效的方法,尤其现在的地包天、牙齿不齐、龅牙等这些常见的...[详情]

唯美品牌
郑州唯美口腔医院
  • 时间:10月20日
  • 摘要:唯美口腔加入郑州人民医院医疗集团
  • 地点:郑州唯美口腔
  • 详情 → 咨询 →
郑州唯美口腔医院
  • 时间:每周一、周五亲诊
  • 摘要:矫正专家亲诊
  • 地点:郑州唯美口腔
  • 详情 → 咨询 →
特邀专家

有牙齿困扰 在线找专家

专家热线:0371-55019113

专家团队
精彩专题
> 微创即刻种植牙
> 隐适美隐形矫正
> 360°彩光美白
> 超薄牙贴面
> 3D全瓷牙

豫公网安备 41010502002633号

免责声明:本网站近期将进行改版,网站所有内容及图片不做为任何法律依据。如有违反或者侵权,请及时联系更改。

网站医疗信息仅供参考,不能作为诊断及医疗依据 本网站内容部分来源转载于网络,不能作为任何法律依据!

请注意时效性,望知悉。如有违反或者侵权,请及时联系更正。