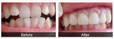
隐形矫正牙齿稀疏医院哪家好,一口好牙可以让人倍感自信,大胆的谈笑风声,笑出更美丽的标准,露出八颗美丽牙齿。如果你有牙齿方面带来的烦恼,何不下决心让自己改变下呢?那么隐形矫正牙齿哪家医院好呢?下面听听郑州唯美口腔医院专家的介绍。

郑州唯美口腔医院专家介绍说,隐形牙齿矫正就是通过某些正畸修复术或者借助外科手术将畸形牙、牙齿稀疏、牙齿拥挤、色素牙等进行整形,以获得和常人一样健康、洁白的牙齿。
郑州唯美口腔医院推荐--韩式隐形矫正
郑州唯美口腔率先引进的韩式隐形正畸技术继承了传统的牙颌畸形矫治的理念,是现代口腔医学、计算机辅助四维诊断、个性化设计及数字化成型技术的完美结合,是正畸领域的新突破。韩式隐形正畸由中韩齿科专家联合坐诊,实现全程无痛无创快速疗法,专门治疗各种牙齿排列不整齐,咬合错位等牙齿形态问题,还你一口整齐、坚固耐用的健康原牙。
该技术是完全个性化的设计理念,可根据正畸者的情况佩带不同的矫治器,完全不影响正畸者的生活。具有隐形高效,稳定美观的特点,并且大大地缩短了疗程,使治疗时间缩短近三分之一,复诊时间缩短二分之一,为正畸者大大节省了时间,透明隐形正畸矫正矫治器厚度不到1mm,透明、光滑、舒适,无异物感和粘膜刺激,是目前更受欢迎和信赖的美齿项目。
郑州唯美口腔是一家化高端口腔私人会所,是中原地区数字化口腔专业机构,是以牙齿种植、牙齿美容、牙齿修复、牙齿矫正、牙齿正畸治疗、口腔治疗、口腔保健预防为特色的知名口腔美容医疗机构,全国口腔医学会会员单位,中韩合作种植牙基地,口腔生态美学指定单位。
持以"专业、诚信、尊重、感恩"的管理理念,实现价格透明化,程序公开化,坚持把方便让给患者,把实惠送给患者,把温馨留给患者。医院本着一切为了患者的服务理念。专注于医疗队伍建设、每项检查、每项服务、都完全公开,让每位患者都能真正地明白就医。
隐形矫正牙齿稀疏医院哪家好,如果您对以上的内容,还有任何不明白的地方,欢迎点击在线咨询,与专家进行一对一交流,同时网上咨询预约,还可享免挂号费,无需排队优先就诊服务。
相关感兴趣文章
豫公网安备 41010502002633号
免责声明:本网站近期将进行改版,网站所有内容及图片不做为任何法律依据。如有违反或者侵权,请及时联系更改。
网站医疗信息仅供参考,不能作为诊断及医疗依据 本网站内容部分来源转载于网络,不能作为任何法律依据!
请注意时效性,望知悉。如有违反或者侵权,请及时联系更正。