矫正牙列不齐哪种方法好?牙齿若是出现牙列不齐的情况,则会让我们感到十分的懊恼。尤其对于形象的损害,让我们错失了许多良好的工作条件,对于口腔健康的危害,又让我们感到生活的厌烦。所以说矫正牙齿是势在必行的,那么牙列不齐矫正哪种方法好呢?
中韩·唯美口腔专家介绍:现在牙列不齐的矫正方法有很多,主要根据患者的自身情况不同,所使用的矫正方法也都不相同,就连成人和儿童的牙齿矫正方法也是不一样的。主要矫正方法有几下几种:
1、牙套。
传统牙套矫正技术的原理就是在牙齿表面黏上牙钉,即牙齿矫正器,再在牙钉上扣上钢线,并以钢线施力来使牙齿移动,令牙齿重新排列。一般预计的正畸疗程是2年左右。刚开始戴用托槽的时候,会有不舒服的感觉,之后这种感觉会逐渐消失。戴用托槽后要注意保持口腔和牙齿的清洁卫生,更好选用特制的正畸牙刷,同时减少糖类和碳水化合物类的食物,尽量避免硬的和粘稠的食物,经常漱口,定期做口腔检查和洗牙。
2、烤瓷牙。
烤瓷牙是一种牙齿修复技术,制作金属烤瓷牙,首先用高强度合金做成金属帽,在其表面烤上一层与天然牙色泽相近的瓷粉,更后黏结在求美者牙齿上,达到“锦上添花”的效果。烤瓷牙是先用合金制成金属基底,再在其表面覆盖与天然牙相似的低熔瓷粉,在真空高温烤瓷炉中烧结熔附而成,因而有金属的强度和烤瓷全冠的美观。它的特点是能恢复牙体的形态功能。烤瓷牙矫治后的金属内冠在口腔内时间长久之后,容易氧化形成灰色氧化物,散在沉积到牙龈边缘,容易引起牙龈变灰出现黑线。
3、美容冠。
针对一些错过牙列不齐矫正黄金时期的成年人,可以通过美容冠牙齿美容技术进行矫正,该项技术一改以往治疗手段的耗时长、不美观的弊端。“美容冠”作为一种目前流行于欧美日韩的新兴牙齿美容方法,它采用了全新科技的数码定位技术、美国WIND无痛技术等先进齿科技术及理念,具有美牙不拔牙、无痛苦、时间短、牙齿坚固、多年后牙齿不出现黑线等优点,从而达到持久保障的美牙效果。“美容冠”采用3D数码定位技术,结合脸型、肤色设计美牙方案,矫正后牙齿坚固、美观大方。美牙后当天即可改善唇形、脸形和咬颌关系,7天来医院两次就能让您即刻拥有笑露8颗齿的标准笑容。哪种方法适合你呢?点击在线咨询直接与专家对话了解详情!
矫正牙列不齐方法推荐——韩式隐形矫正
对于美容冠矫正的价格太高的原因,中韩·唯美口腔率先引进的韩式隐形正畸技术继承了传统的牙颌畸形矫治的理念,是现代口腔医学、计算机辅助四维诊断、个性化设计及数字化成型技术的完美结合,是正畸领域的新突破。韩式隐形正畸由中韩齿科专家联合坐诊,实现全程无痛无创快速疗法,专门治疗各种牙齿排列不整齐,咬合错位等牙齿形态问题,还你一口整齐、坚固耐用的健康原牙。推荐阅读:韩式隐形矫正
该技术是完全个性化的设计理念,可根据正畸者的情况佩带不同的矫治器,完全不影响正畸者的生活。具有隐形高效,稳定美观的特点,并且大大地缩短了疗程,使治疗时间缩短近三分之一,复诊时间缩短二分之一,为正畸者大大节省了时间,透明隐形正畸矫正矫治器厚度不到1mm,透明、光滑、舒适,无异物感和粘膜刺激,是目前更受欢迎和信赖的美齿项目。点击在线咨询。了解牙齿矫正的优惠活动!在线预约可享更多优惠!
中韩·唯美口腔牙齿矫正专家推荐

李玉如,口腔正畸科。副教授,副主任医师,硕士生导师,口腔医学正畸专业硕士。1991年毕业于中山医科大学口腔系,一直从事口腔正畸的临床、教学和科研工作,临床经验丰富,并注重知识的学习更新,2004年硕士学位毕业。擅长正畸科各类牙颌畸形及疑难病例的矫治,对青少年反牙合、开牙合、功能性矫治、阻生牙的导萌牵引及成年人牙颌畸形、牙周病的正畸治疗有良好的疗效。
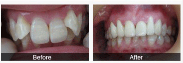
中韩·唯美口腔牙齿矫正前后对比图

温馨提示:如果你在阅读文章时碰到不清楚的地方,可以通过在线咨询中韩·唯美口腔的专家;如果你需要看病又不想排队挂号,也可以通过这里提前预约,我们将免费为你安排。
相关感兴趣文章
豫公网安备 41010502002633号
免责声明:本网站近期将进行改版,网站所有内容及图片不做为任何法律依据。如有违反或者侵权,请及时联系更改。
网站医疗信息仅供参考,不能作为诊断及医疗依据 本网站内容部分来源转载于网络,不能作为任何法律依据!
请注意时效性,望知悉。如有违反或者侵权,请及时联系更正。