¡¡¡¡Ö£ÖÝ·ú°ßÑÀÃÀ°×¶àÉÙÇ®?±äÉ«µÄÑÀ³Ý×ÜÊÇÈÃÎÒÃÇÔÚÈËȺ֮ÖзÖÍâµÄÈÇÈËÑá¾ë£¬²»½öʧȥ¸üÔʼµÄ΢Ц£¬¶øÇÒÒ²ÈÃÎÒÃǵÄÐÎÏóÎÊÌâËðʧ´ù¾¡¡£·ú°ßÑÀ¾ÍÊÇÒ»ÖÖ³£¼ûµÄÑÀ³Ý±äÉ«ÎÊÌ⣬¶ÔÓÚ·ú°ßÑÀµÄÎÊÌ⼰ʱµÄÃÀ°×²ÅÊÇÁ¼²ß£¬ÄÇô֣ÖÝ·ú°ßÑÀÃÀ°×¶àÉÙÇ®ÄØ?
¡¡¡¡Öк«·Î¨ÃÀ¿Úǻר¼Ò½éÉÜ£º·ú°ßÑÀÊÇÉ«ËØÑÀµÄÒ»ÖÖ£¬Ò»°ã¶øÑԳʻÆÉ«¡£ÔÚͬһʱÆÚÃȳöµÄÓÔÖÊÉÏÓа×ÛÑÉ«µ½ºÖÉ«µÄ°ß¿é£¬ÑÏÖØÕß»¹²¢·¢ÓÐÓÔÖʵÄʵÖÊȱËð¡£ÁÙ´²Éϳ£°´ÆäÇá¡¢ÖС¢Öضȶø·ÖΪ°×ÛÑÐÍ(Çá¶È)¡¢×ÅÉ«ÐÍ(ÖжÈ)ºÍȱËðÐÍ(ÖØ¶È)ÈýÖÖÀàÐÍ¡£ÕýÒòΪ·ú°ßÑÀÓÐÇáÖØ¶ÈÖ®·Ö£¬Òò¶ø£¬ÃÀ°×·ú°ßÑÀµÄ¼Û¸ñÊǶàÉÙ×ÔȻҲҪºÍ·ú°ßÑÀµÄÕâЩÒòËØÓйء£¶Ô´Ë£¬Öк«·Î¨ÃÀ¿ÚÇ»µÄר¼Ò½¨Òé¹Ë¿Í¿ÉÒÔ°´ÕÕ²»Í¬µÄ·ú°ßÑÀ³Ì¶ÈÀ´Ñ¡Ôñ²»Í¬µÄÑÀ³ÝÃÀ°×ÖÎÁÆ·½Ê½£¬Æä³Ì¶È»òÆäËûÒòËØ¶¼½«Ó°Ïìµ½·ú°ßÑÀÃÀ°×¼Û¸ñ¶àÉÙÇ®¡£
¡¡¡¡1¡¢ºÍ·ú°ßÑÀ³Ì¶ÈÓйأ¬·ú°ßÑÀµÄÑÏÖØ³Ì¶Èµ¼Ö¸ù¾Ýÿ¸öÇóÃÀÕßµÄÑÀ³Ý×ÛºÏÇé¿öÀ´Ñ¡ÔñÊʺϵÄÖÎÁÆ·½Ê½¡£´Ó¶ø¿ÉÒÔÈÃÑÀ³ÝµÃµ½¸üºÃµÄ¸Ä±ä£¬Ò²¿ÉÒÔÈÃÄã¶Ô×Ô¼º¸üÓÐ×ÔÐÅ£¬¸üºó¸ù¾ÝÄãËùÑ¡ÔñµÄÖÎÁÆ·½Ê½À´È·¶¨¸üºóµÄÑÀ³ÝÃÀ°×µÄ¼Û¸ñ¡£
¡¡¡¡2¡¢ËùÔÚÒ½Ôº¼°Ò½ÉúµÄ¹æÄ£¡¢ÖªÃû¶ÈÓйأ¬²»Í¬Ò½ÔºµÄ¼Û¸ñ¶¼²»Í¬£¬ËùÒÔÕë¶ÔÑÀ³ÝÃÀ°×µÄ¼Û¸ñÐèÒª×ۺϿ¼Âǵġ£ÕâÒ»µãÏàÐÅ´ó¼Ò¶¼ÄÜÃ÷°×ÆäÖеĵÀÀí¡£
¡¡¡¡3¡¢·ú°ßÑÀÃÀ°×µÄ·ÑÓÃÒª¿´¹Ë¿ÍËùÔڵص±µØµÄÎï¼Ûˮƽ£¬Ã¿¸öµØÇø¶¼ÊDz»Ò»ÑùµÄ£¬Îï¼Ûˮƽ¸ßµÄµØ·½£¬ÑÀ³ÝÃÀ°×µÄ¼Û¸ñ»áÏà¶Ô¸ßЩ£¬¶øÎï¼ÛˮƽµÍµÄµØ·½ÑÀ³Ý½ÃÕý¼Û¸ñ»áµÍЩ¡£
¡¡¡¡4¡¢·ú°ßÑÀÃÀ°×µÄ·ÑÓÃÒª¿´¹Ë¿ÍËùÑ¡ÓõÄÑÀ³ÝÃÀ°×µÄ·½·¨¡£²»Í¬µÄÃÀ°×·½·¨£¬¶ÔÓÚ·ú°ßÑÀÖÎÁƵķÑÓÃÊDz»Ò»ÑùµÄ¡¢ÉõÖÁ´óÏྶͥ¡£Èç½ñÑÀ³ÝÃÀ°×µÄ·½·¨Óкܶ࣬Èç³£¼ûµÄÑÀ³ÝƯ°×£¬Ê¹ÓôÉÌùÃæ£¬Àä¹âÃÀ°×µÈµÈ£¬ÕâЩÑÀ³ÝÃÀ°×µÄ·½·¨¶¼ÊDz»Í¬µÄ£¬ÓÐ×Ų»Í¬µÄЧ¹û£¬µ±È»¼Û¸ñÒ²¾Í²»Ò»Ñù¡£Ê²Ã´ÑùµÄÃÀ°×·½·¨ÊʺÏÄãÄØ?µã»÷ÔÚÏß×ÉѯÓëר¼ÒÖ±½Ó½»Á÷Ñ¡ÔñÊʺÏ×Ô¼ºµÄÃÀ°×·½·¨!
¡¡¡¡Öк«·Î¨ÃÀ¿ÚÇ»µÄ360°²Ê¹âÃÀ°×¼¼ÊõÊÇÒ»ÏîÕýÁ÷ÐÐÓÚÅ·ÃÀµÄ¸üÐÂÐ˵ÄÑÀ³ÝÃÀ°×¼¼Êõ£¬ÃÀ¹ú360°²Ê¹âÃÀ°×¼¼ÊõÊÇÃÀ¹úÑÀ¿Æ¼¤¹â¿Æ¼¼¸üгɹû£¬Ò²ÊÇͨ¹ýÃÀ¹úʳƷ¼°Ò©Îï¼à¶½¹ÜÀí¾Ö(FDA)ÈÏÖ¤¡¢Å·ÃËCEÈÏÖ¤µÄ²Ê¹âÃÀ°×¼¼Êõ,ÊÇĿǰ¸üÓÐЧ¼°¸ü°²È«µÄÑÀ³ÝÃÀ°×¼¼Êõ¡£½öÐè¶Ì¶Ì30·ÖÖÓ£¬ÃÀ¹ú360°²Ê¹âÃÀ°×¼´¿ÉÓÐЧȥ³ý»ÆÑÀ¡¢ÑÌ×ÕÑÀ¡¢ºÚÑÀ¡¢ËÄ»·ËØÑÀ¡¢·ú°ßÑÀµÈ¸÷ÖÖÉ«ËØÑÀÀ§ÈÅ¡£ÔÚÅ·ÃÀ£¬ÒÑÓг¬¹ý4°ÙÍòÈËÓòʹâÃÀ°×¼¼ÊõÃÀ°×ÑÀ³Ý£¬Ëü±»³ÆÎªÐ§¹û¸üºÃµÄÎçÐÝÃÀÈÝÏîÄ¿£¬ÃÀ°×Ч¹ûÖ±½Ó¸ü³Ö¾Ã£¬²¢Ñ¸ËÙÔÚÈÕº«¡¢ÖйúÆÕ¼°¡£ÁÙ´²ÊÔÑé±íÃ÷ʹÓÃÃÀ¹ú360°²Ê¹âÃÀ°×£¬ÑÀ³ÝÃÀ°×Ч¹û¿ÉÌá¸ß5~15¸övitaÉ«½×²¢ÇÒ¶ÔÑÀ³ÝºÍÑÀö¸Ã»ÓÐÈκÎÉ˺¦¡£ÕâÖÖÃÀ°×·½·¨ÊʺÏÄãÂð?µã»÷ÔÚÏß×Éѯ£¬Óëר¼ÒÒ»¶ÔÒ»µÄ½»Á÷Á˽âÏêÇé!
¡¡¡¡ÊÊÓ÷¶Î§£ºÒ»°ãÍâÒòÐÔÉ«ËØÑÀ(¿§·È¡¢²è×Õ¡¢ÑÌ×Õ³Á»ý¡¢éÄÀÆÈ¾É«)¡¢ÖÐÇá¶ÈËÄ»·ËØÑÀ¡¢·ú°ßÑÀ¡¢Ò©ÎïÐÔ±äÉ«ÑÀ¡¢ÒÅ´«ÐÔ»ÆÑÀµÈÍâÔ´ÐÔºÍÄÚÔ´ÐÔÑÀ³ÝÑÕÉ«ÄÑ¿´ÎÊÌâ¡£ÍÆ¼öÔĶÁ£ºÃÀ¹ú360°²Ê¹âÃÀ°×
¡¡¡¡Öк«·Î¨ÃÀ¿ÚÇ»ÑÀ³ÝÃÀ°×ר¼ÒÍÆ¼ö

¡¡¡¡³ÌÁᣬ¿Úǻִҵҽʦ£¬¾«Õ¿¼¼Êõ£ºÑÀ³ÝÃÀÈÝ¡¢ÑÀ³Ý½ÃÕý¡¢1СʱµÂ¹úÎ÷ŵµÂCAD/CAM3D³ÝµñÈ«´ÉÐÞ¸´¡£±ÏÒµÓÚºÓÄÏÒ½¿Æ´óѧ£¬ÏȺóÔÚ»ªÎ÷¿ÚǻҽѧԺ¼°Èý¼¶¼×µÈÒ½Ôº¿ÚÇ»ÖÐÐŤ×÷£¬»ýÀÛÁ˷ḻµÄÁÙ´²¾Ñé¡£Ôڹ̶¨ÐÞ¸´¡¢ÃÀ³ÝÃÀ°×·½Ãæ¼¼ÒÕ¾«Õ¿ÓÐ×ÅÍ»³öÓÅÊÆ£¬Ôø²ÎÓëÖк«ÃÀÈÝÕûÐηå»á£¬²¢ÓÚºËÐÄÆÚ¿¯·¢±íÂÛÎÄ¶àÆª¡£¸Ãҽʦ¼¼ÊõæµÊ죬²Ù×÷¹æ·¶ÇáÈᣬÐÐÒ½ÑϽ÷£¬´ýÈËÕæ³Ï£¬Òѳɹ¦Íê³É½üǧÀýµÄÑÀ³ÝÃÀÈÝÐÞ¸´£¬ÉîµÃ»¼ÕßºÃÆÀ¡£µã»÷ÔÚÏß×Éѯ£¬Á˽âÑÀ³ÝÃÀ°×µÄÓŻݻ!ÔÚÏßÔ¤Ô¼¿ÉÏíÊܸü¶àÓÅ»Ý!
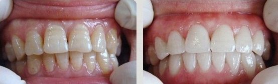
¡¡¡¡Öк«·Î¨ÃÀ¿ÚÇ»ÑÀ³ÝÃÀ°×ǰºó¶Ô±Èͼ

¡¡¡¡Èç¹ûÄú¾õµÃÎÒÃǵÄÎÄÕÂûÓнâÊ͵ĺÜÇå³þ£¬»òÕß»¹ÓÐÆäËûÒÉÎÊ£¬Äú¿ÉÒÔÖ±½Óµã»÷ÎÒÃǵÄÔÚÏß×ÉѯҽÉú£¬Öк«·Î¨ÃÀ¿Úǻרҵ×ÉѯҽÉú»á¸øÄúÄÍÐĵģ¬ÏêϸµÄ½â´ð£¬²¢¸øÄúÒ»¸öÂúÒâµÄ´ð¸´!
ä¯ÀÀ±¾ÆªÎÄÕµÄÍøÓÑ
Ïà¹Ø¸ÐÐËȤÎÄÕÂ
¿ÚÇ»ÖеÄÓк¦ÎïÖÊ£¬ÑÀ¾ú°ß»ýÀ۽϶࣬ÊÇÑÀ³Ý±äÉ«£¬»¹»áµ¼ÖÂÑÀÖÜÑ×£¬Ôì³É¿ÚÇ»Èí×éÖ¯¸ÐȾ...[ÏêÇé]
ÑÀ³ÝÑÕÉ«¶ÔÓÚÈËÃÇÓÐ×ÅÖ±½ÓµÄÓ°Ï죬Èç¹û×ÅÉ«½ÏÉî°µ£¬ÔÚ¹¤×÷¡¢Éç½»³¡ºÏÊǺÜÈÝÒ×±»ÈËËù¡°...[ÏêÇé]
·ú°ßÑÀµÄ³öÏÖ£¬»á¸øÑÀ³Ý´øÀ´»ÆÉ«¡¢ÎÞ¹âµÄÇé¿ö£¬´Ó¶øÓ°Ïìµ½ÑÀ³ÝÃÀ¹ÛÎÊÌ⣬ÉõÖÁÔÚ³¤Ê±¼ä...[ÏêÇé]
×ø×ŵÄÈËÓÀÔ¶²»¶®Õ¾×ŵÄÈ˵ÄÍ´¿à£¬×ÅÉ«µÄÑÀ³ÝÈÃÎÒÃÇ´©Ô½µ½ÄǸö±ä³É³Ô·¹²»³¤¿Ú¡¢Î¢Ð¦²»...[ÏêÇé]
Ô¥¹«Íø°²±¸ 41010502002633ºÅ
ÃâÔðÉùÃ÷£º±¾ÍøÕ¾½üÆÚ½«½øÐÐ¸Ä°æ£¬ÍøÕ¾ËùÓÐÄÚÈݼ°Í¼Æ¬²»×öΪÈκη¨ÂÉÒÀ¾Ý¡£ÈçÓÐÎ¥·´»òÕßÇÖȨ£¬Ç뼰ʱÁªÏµ¸ü¸Ä¡£
ÍøÕ¾Ò½ÁÆÐÅÏ¢½ö¹©²Î¿¼,²»ÄÜ×÷ΪÕï¶Ï¼°Ò½ÁÆÒÀ¾Ý ±¾ÍøÕ¾ÄÚÈݲ¿·ÖÀ´Ô´×ªÔØÓÚÍøÂ磬²»ÄÜ×÷ΪÈκη¨ÂÉÒÀ¾Ý£¡
Çë×¢ÒâʱЧÐÔ£¬Íû֪Ϥ¡£ÈçÓÐÎ¥·´»òÕßÇÖȨ£¬Ç뼰ʱÁªÏµ¸üÕý¡£