氟斑牙美白费用是多少?色变之后的牙齿虽说没有一个人的思想受到沾污那么严重,但是对于我们整体的外在形象,以及口腔的健康都将要带来难以抚平的伤害,更好的解决方案就是要去正规的口腔医院做牙齿美白,那么氟斑牙美白费用是多少呢?
中韩·唯美口腔专家介绍,治疗氟斑牙的价格的与哪些因素有关
1、医生的资质和口腔医院的知名度和氟斑牙美白价格有关
因为牙齿美白的效果也是有差别的,牙齿美白也没有统一的价格,不同地方不同门诊部的价格都不同,所以针对牙齿美白的价格需要综合考虑。
2、氟斑牙美白价格和牙齿美白的方法有关
不同的美白方法,牙齿美白的价格是不一样的。如今牙齿美白的方法有很多,如常见的牙齿漂白,使用牙贴美白、彩光美白、美牙冠等等,这些牙齿美白的方法都是不同的,有着不同的效果,当然价格也就不一样。哪种牙齿美白方法适合你呢?点击在线咨询直接与专家对话,了解详情!
3、氟斑牙美白价格和氟斑牙程度有关
牙齿变色的现象都是不同的,变色的原因也不同,有内源性着色和外源性着色等不同的情况,所以在治疗的时候就要根据每个求美者的牙齿综合情况来选择适合的治疗方式。从而可以让牙齿得到更好的改变,也可以让你对自己更有自信,更后根据你所选择的治疗方式来确定更后的牙齿美白的价格。
中韩·唯美口腔的360°彩光美白技术是一项正流行于欧美的更新兴的牙齿美白技术,它将高强度彩光定点照射,它不仅可以去除牙齿表面的色素沉积,及深层所附着的色素,美白效果持久有效,仅需短短的30分钟,即可让您拥有一口润白亮泽的牙齿。具有持久、自然、快速、专业、安全等五大优势。推荐阅读:美国360°彩光美白
适用范围:一般外因性色素牙(咖啡、茶渍、烟渍沉积、槟榔染色)、中轻度四环素牙、氟斑牙、药物性变色牙、遗传性黄牙等外源性和内源性牙齿颜色难看问题。点击在线咨询,了解彩光美白的优惠活动!在线预约可享更多优惠!
中韩·唯美口腔牙齿美白专家推荐

程玲,口腔执业医师,精湛技术:牙齿美容、牙齿矫正、1小时德国西诺德CAD/CAM3D齿雕全瓷修复。毕业于河南医科大学,先后在华西口腔医学院及三级甲等医院口腔中心工作,积累了丰富的临床经验。在固定修复、美齿美白方面技艺精湛有着突出优势,曾参与中韩美容整形峰会,并于核心期刊发表论文多篇。该医师技术娴熟,操作规范轻柔,行医严谨,待人真诚,已成功完成近千例的牙齿美容修复,深得患者好评。
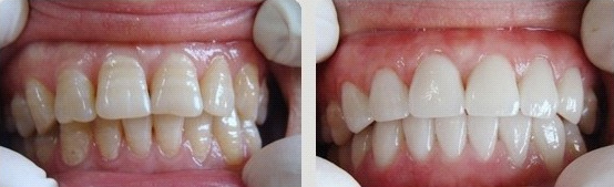
中韩·唯美口腔牙齿美白前后对比图

如果您觉得我们的文章没有解释的很清楚,或者还有其他疑问,您可以直接点击我们的在线咨询医生,中韩·唯美口腔的专业咨询医生会给您耐心的,详细的解答,并给您一个满意的答复!
相关感兴趣文章
豫公网安备 41010502002633号
免责声明:本网站近期将进行改版,网站所有内容及图片不做为任何法律依据。如有违反或者侵权,请及时联系更改。
网站医疗信息仅供参考,不能作为诊断及医疗依据 本网站内容部分来源转载于网络,不能作为任何法律依据!
请注意时效性,望知悉。如有违反或者侵权,请及时联系更正。