氟斑牙治疗大概要多少钱?每一种病种都会通过其突出症状来表现出来,而氟斑牙就是氟中毒的一种表现形式。所以说对于氟斑牙我们一定要及时的治疗,来保障我们的健康。那么氟斑牙治疗大概要多少钱呢?下面跟随郑州知名口腔科专家来了解一下。
氟斑牙治疗大概要多少钱?对于不同程度的氟斑牙症状,其治疗方法不同,价格也不相同。
1、要看医生的资质和医院的知名度:因为牙齿美白的效果也是有差别的,牙齿美白也没有统一的价格,不同地方不同医院的价格都不同,所以针对氟斑牙治疗大概要多少钱需要综合考虑的。
2、要看患者所在地当地的物价水平,每个地区都是不一样的,物价水平高的地方,牙齿美白的价格会相对高些,而物价水平低的地方氟斑牙治疗大概要多少钱会低些。推荐阅读:快速消除氟斑牙
3、要看患者所选用的牙齿美白的方法:不同的美白方法,氟斑牙治疗大概要多少钱是不一样的。如今牙齿美白的方法有很多,如使用牙贴面美白,彩光美白、美容冠美白等等,这些牙齿美白的方法都是不同的,针对不同氟斑牙的程度有着不同的效果,当然价格也就不一样。哪种氟斑牙治疗方法适合你呢?点击在线咨询,直接与专家对话了解详情!
4、跟牙齿的情况有关:牙齿变色的现象都是不同的,变色的原因也不同,有内源性着色和外源性着色等不同的情况,所以在治疗的时候就要根据每个求美者的牙齿综合情况来选择适合的治疗方式。从而可以让牙齿得到更好的改变,也可以让你对自己更有自信,更后根据你所选择的治疗方式来确定更后的氟斑牙治疗大概要多少钱。点击在线咨询,了解氟斑牙治疗的优惠信息!在线预约可享更多优惠!
中韩·唯美口腔牙齿美容专家推荐

艾西川,副主任医师,精湛技术:颌面外科、牙齿美容、1小时德国西诺德CAD/CAM3D齿雕全瓷修复。毕业于中国口腔著名学府——西安第四军医大学,原南京军区口外知名专家,郑州市口腔医院院长。从事口腔全科临床工作三十余年,对口腔内外科有丰富的临床经验,拥有万例成功案例。曾获市级科研成果奖两项,省级三项,多部专著被列为医大教材,在国内外知名刊物上发表专业论文20余篇,多次应邀参加国内外口腔大型研讨会,于口腔治疗方面有独到的治疗方法,深受客人好评。
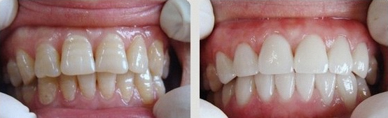
中韩·唯美口腔牙齿美容前后对比图

如果您觉得我们的文章没有解释的很清楚,或者还有其他疑问,您可以直接点击我们的在线咨询医生,中韩·唯美口腔专业咨询医生会给您耐心的,详细的解答,并给您一个满意的答复!
相关感兴趣文章
豫公网安备 41010502002633号
免责声明:本网站近期将进行改版,网站所有内容及图片不做为任何法律依据。如有违反或者侵权,请及时联系更改。
网站医疗信息仅供参考,不能作为诊断及医疗依据 本网站内容部分来源转载于网络,不能作为任何法律依据!
请注意时效性,望知悉。如有违反或者侵权,请及时联系更正。