牙齿发黄的原因有哪些?牙齿洁白亮丽引得很多黄牙患者羡慕的目光,常常自问,为什么自己的牙齿却怎么刷都不能变白呢?要想了解具体原因,以及修复美白自己的黄牙,还是要到正规专业的口腔医院去诊疗,那么牙齿发黄的原因有哪些?
牙齿美白需要根据患者牙齿情况给予治疗修复方案,因此需要了解牙齿发黄原因,中韩唯美口腔专家指出,牙齿变黄有先天和后天两类原因。
首先,牙齿发黄的先天原因:
一、更多见的是四环素牙。在我国六、七十年代,比较广泛使用四环素类药物,使用这类药物过量可以在牙齿组织中积蓄,使牙齿内层染色变黄。
二、常引起牙齿变黄的就是氟牙症,即氟斑牙。氟斑牙是在牙齿发育钙化期,人体摄入过量氟造成的,摄入氟主要是通过饮水。在我国有些地区天然水中含氟量过高,容易导致氟斑牙,属地方性氟中毒的一种表现。
三、在小儿牙齿发育钙化期患了比较严重的全身疾病,病程比较长影响了全身营养代谢功能,也可影响牙齿釉质发育不全和钙化不良,它的特点是表面釉质失去光泽、不透明,呈黄褐色。了解更多牙齿美白,点击在线咨询,直接与专家相互交流!

其次,使牙齿变黄的后天因素主要有喝咖啡、饮浓茶、抽烟,食用某些中药等,这些只影响了牙齿的表面颜色,易于清除。
中韩·唯美口腔牙齿美白技术推荐
美国360°彩光美白剂是更新技术产品,美白过程中无刺激、无副作用,安全呵护牙齿结构和珐琅质,经实验对比,产品优于目前市场上任何冷光牙齿美白剂,在美国,已有超过100万以上的人采用了此种美白剂进行牙齿美白,因此被公认是目前更有效及更安全的牙齿脱色美白剂。推荐阅读:360°彩光美白
中韩·唯美口腔牙齿美白专家推荐

程玲,口腔执业医师,精湛技术:牙齿美容、牙齿矫正、1小时德国西诺德CAD/CAM3D齿雕全瓷修复。毕业于河南医科大学,先后在华西口腔医学院及三级甲等医院口腔中心工作,积累了丰富的临床经验。在固定修复、美齿美白方面技艺精湛有着突出优势,曾参与中韩美容整形峰会,并于核心期刊发表论文多篇。该医师技术娴熟,操作规范轻柔,行医严谨,待人真诚,已成功完成近千例的牙齿美容修复,深得患者好评。点击在线咨询,了解牙齿美白的优惠信息!在线预约可享更多优惠!

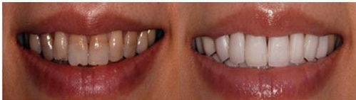
中韩·唯美口腔牙齿美白前后对比图

温馨提示:以上内容是关于牙齿发黄的原因的介绍,想要拥有洁白整齐牙齿,更好到专业口腔医院去美白牙齿,更多疑问,可以点击我们中韩·唯美口腔医院的在线咨询,由在线专家对您做详细的解答!
相关感兴趣文章
豫公网安备 41010502002633号
免责声明:本网站近期将进行改版,网站所有内容及图片不做为任何法律依据。如有违反或者侵权,请及时联系更改。
网站医疗信息仅供参考,不能作为诊断及医疗依据 本网站内容部分来源转载于网络,不能作为任何法律依据!
请注意时效性,望知悉。如有违反或者侵权,请及时联系更正。