门牙种植要多少钱?门牙的是否健全关于着我们每个人的形象和气质,而从其缺失带来的危害角度来讲,更严重的莫过于其引发的连锁性副作用,更主要的表现就是口腔疾病的多发。种植牙是修复牙齿缺失的更好方法,那么门牙种植要到多少钱呢?
门牙种植要多少钱
中韩·唯美口腔的专家指出:门牙修复不光要实用性,而且需要美观度。而种植牙都可以做到。不过种植牙的价格是不确定的,它受到材料、技术等方面的影响,所以说种植门牙的价格并不是固定的。
1、与种植材料有关,种植牙分为种植牙体和美牙冠部分,种植牙体是采用与人体相容性非常高的特殊材料,材料不同,种植牙的价格肯定就会不同。
2、与选择的医院有关,不同的医院收费标准不同,种植牙的价格自然也不同了。
3、与选择的技术有关,每种技术的价格都是不一样的,它们的种植效果也是各不相同,当然价格也是不一样的。推荐阅读:亲骨超导种植技术
牙齿种植技术推荐——亲骨超导种植技术
中韩·唯美口腔独家引进的亲骨超导即刻种植是采用普兰梅卡口腔全景机进行3D口腔CT成像,根据自身牙体骨骼或以自身骨组织系数来定制骨粉,比起传统的人造骨粉,更加精确无误,而且生物相容性更好、更稳定牢固、愈合更迅速。由于3D口腔CT成像的直接应用,使亲骨种植技术大大的提高了,并象征着口腔种植领域的发展,迈出了革命性的一步。点击在线咨询,了解种植牙的优惠信息!在线预约可享更多优惠!
中韩·唯美口腔牙齿种植专家推荐

徐雅轩,国内著名CAM/CAD修复专家,精湛技术:牙齿矫正、牙齿美容修复、1小时德国西诺德CAD/CAM3D齿雕全瓷修复。毕业于南京医科大学口腔专业,长期从事口腔种植临床工作,在部队三甲医院工作多年,拥有多年深厚的口腔种植与研究经验。曾应邀参加瑞士ITI种植培训、德国西诺德3D齿雕培训,并出任多国种植集团特邀医师。其娴熟的种植技术和丰富的临床经验有机结合,注重从顾客的角度为出发点制定治疗方案,行医严谨,待人真诚,让广大缺牙顾客重新拥有完美的牙齿,深得顾客好评。
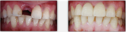
中韩·唯美口腔牙齿种植前后对比图

在线咨询,一分钟预约挂号,医务人员将会与您一对一进行沟通。中韩·唯美口腔有中国更专业的网上挂号平台,为您提供更便捷的预约就诊服务,为您推荐全国资质更深、技术更好的治疗专家,让你从此刻开始摆脱疾病的困扰。
相关感兴趣文章
豫公网安备 41010502002633号
免责声明:本网站近期将进行改版,网站所有内容及图片不做为任何法律依据。如有违反或者侵权,请及时联系更改。
网站医疗信息仅供参考,不能作为诊断及医疗依据 本网站内容部分来源转载于网络,不能作为任何法律依据!
请注意时效性,望知悉。如有违反或者侵权,请及时联系更正。