中秋节,为父母种一口好牙!每逢佳节倍思亲,尤其是中秋节这一轮明月高挂的时刻。这种时刻我们都是陪着家人坐在一轮明月下,吃着团圆饭、品着精美月饼,其乐融融。那么试想一下,如果此时没有一口健康的牙齿,即便美味也味同嚼蜡,那将是多么煞风景的一件事啊!

汉语中有个词语叫“老掉牙”:这个反映的是一个生理现象。老人掉牙更主要的因素是老年人身体机能会下降,牙龈跟着老化萎缩,对牙槽骨输送营养的能力日趋下降,牙槽骨随之萎缩变短,细菌造成破坏性溶解,从而导致老人掉牙齿。“老掉牙”这种观点是错误的,流行标准是“8020”,即80岁的老人还能有20颗自然牙。中国人由于老掉牙这一观念的影响,认为人老了,缺牙是正常的,牙痛忍忍就过去了,导致中国人口腔健康远不如欧美发达国家。缺失牙,是人衰老的重要因素,长期缺牙导致牙槽骨吸收、影响相邻健康牙存活,形成“多米诺骨”效应。
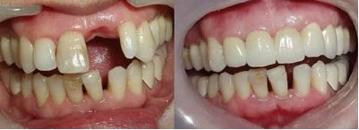
郑州唯美口腔专家表示,长时间缺牙没有镶牙,会导致其相邻牙向缺牙位倾斜、移位,缺牙空隙相对应的牙齿将因无对抗力量而逐渐伸长,咬合关系和牙齿排列出现错乱,致使剩余牙齿失去正常的邻接关系,造成食物嵌塞、营养缺失等。缺牙是影响老年人健康及加速老人衰老的根源,据临床资料显示,全口无牙老人,比口腔健康的同龄人寿命短10-20年。推荐阅读:种植牙适用哪些人
专家称,种植牙能恢复自然牙的咬合功能,一般假牙的咬合力只有自然牙的1/20,而种植牙的咬合力接近自然牙,可以嚼碎较硬的食物。长期使用传统假牙,可引起牙槽骨萎缩。而在缺牙区植入种植体可增加该区牙槽骨的骨密度,并减少骨吸收,不会发生龋齿。
种植牙好吗?与传统假牙相比,种植牙更容易让您感受食物的美味与细腻,从而提高生活质量。种植牙能够保护邻牙,普通假牙需要磨除邻牙牙冠,损伤邻牙,而种植牙只在缺牙区植入,不会损伤邻牙。种植牙还可以增加全口义齿的固位力,种植牙可以更好地固定全口义齿,使之更加牢固;摆脱活动假牙的不便。种植可以摆脱活动假牙造成的牙龈疼痛、异物感、异味、发音影响等不便。
综上所诉,为使家中的老人们能够安度晚年,赶紧带上家中的老人去专业的牙科医院检查并及时就诊,切莫错过康复的好时机。
中秋节,为父母种一口好牙!为了关注更多人牙齿健康,从即日起至9月10日,郑州牙科医院郑州唯美口腔开启“中秋-爱牙季”美牙钜惠风暴,预约赶快!牙齿种植:单颗种植、多颗种植、全口种植,更高享受85折援助,亦可申请韩国特别订制“牙根 ”(仅300颗);更多口腔问题请点击在线咨询,由我院专家详细为您解答.
豫公网安备 41010502002633号
免责声明:本网站近期将进行改版,网站所有内容及图片不做为任何法律依据。如有违反或者侵权,请及时联系更改。
网站医疗信息仅供参考,不能作为诊断及医疗依据 本网站内容部分来源转载于网络,不能作为任何法律依据!
请注意时效性,望知悉。如有违反或者侵权,请及时联系更正。