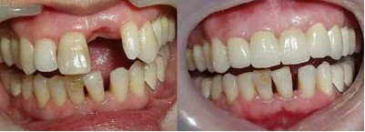
种植牙有没有年龄限制,牙齿缺失是常见的口腔疾病,虽然牙齿保健引起许多人的关注,但也有一些人认为缺失一两颗牙无所 谓。其实不然,牙齿缺失不仅影响美观、使人显老,而且会导致牙周疾病的发生。目前修补牙齿缺失的更好办法当属做种植牙 ,那么,种植牙有没有年龄限制?
唯美口腔专家指出,一般来说种植牙是没有太大年龄限制的,老年人也可以做种植,在国外就曾有80岁老人成功种植假牙的病 例。种植牙关键要看你的牙槽骨,牙槽骨骨质密度高,种植牙就高。

种植牙好吗?年轻的缺牙患者机体的新陈代谢能力强,骨质密度高,后牙槽骨的愈合速度快、愈合质量高,种植牙的也相对较高。而 老年人骨质相对疏松,牙槽骨吸收明显,但这并不意味着老年人就不能种植牙。
对于牙槽骨条件较差的患者,唯美口腔专家指出,可以在前植骨以增加牙槽骨的高度及宽度,术后牙槽骨完全可以满足种植牙 的要求。一般身体条件或是患有某种疾病但得到很好控制的老年人,只要能承受拔牙就可以进行牙种植手术,完成种植牙修复 。需要注意的是,种植牙起前提是糖尿病、高血压、心脏病、脑血管病等老年人常见的慢性病都得到了很好的控制,口腔内还 要保证没有炎症、黏膜病等。
郑州唯美口腔牙齿种植技术推荐
郑州唯美口腔独家引进的“亲骨”种植技术是采用普兰梅卡口腔全景机进行3D口腔CT成像,根据自身牙体骨骼或以自身 骨组织系数来定制骨粉,比起传统的人造骨粉,更加精确无误,而且生物相容性更好、更稳定牢固、愈合更迅速。由于3D口腔 CT成像的直接应用,使“亲骨”种植技术大大的提高了。推荐阅读:种植牙齿多少钱一颗
郑州唯美口腔牙齿种植专家推荐
武海波(Herbert)毕业于第四军医大学口腔临床系,口腔种植修复博士。2002年获第四军医大学口腔学院修复硕士学位,2006在 德国科隆牙科学院研修椅旁修复系统及普士种植技术,并获科隆牙科学院种植博士学位,工作期间曾与韩国多名种植美容修复院 长交流,在牙美容学专业取得重要突破。现任德国普士种植系统中国区技术总监,是国内较早采用德国普士种植系统进行缺失牙修复专家。
郑州牙科医院郑州唯美口腔专家温馨提示:如果您对种植牙方面还有其他疑问,可直接向我们郑州唯美口腔的在线专家免费咨询!
豫公网安备 41010502002633号
免责声明:本网站近期将进行改版,网站所有内容及图片不做为任何法律依据。如有违反或者侵权,请及时联系更改。
网站医疗信息仅供参考,不能作为诊断及医疗依据 本网站内容部分来源转载于网络,不能作为任何法律依据!
请注意时效性,望知悉。如有违反或者侵权,请及时联系更正。