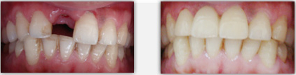
种植牙有多长的使用寿命,对于牙齿缺失的患者而言,及时的修复是关键,否则不仅对口腔的健康有一定的影响,而且对自身的容貌也会有一定的影响。目前修复牙齿缺失更佳的方法是种植牙,其修复效果受到很多人的青睐。那么,种植牙有多长的使用寿命?为此,通过以下我们来进行详细的了解。

郑州唯美口腔的专家介绍,影响种植牙寿命的因素有哪些:
1、定期检查复诊:种植牙各个结构之间是靠螺丝或黏结剂连接的。机械连接受到疲劳寿命和机械性能等的限制,易使种植牙的各个连接部分松动;黏结连接的可因黏结剂的松脱或老化而使修复体松动。零部件松脱和牙槽骨吸收经常是种植体过载的表现,需要患者及时到医院就诊,调整咬合,重新固定种植牙。
2、口腔清洁和护理工作:可以利用软毛牙刷和微磨料的牙膏仔细清洁牙齿,刷不到的邻面和死角可以利用牙线、牙缝刷或牙签来清洁。此外,还应定期到医院用专用的器械对种植牙进行清洁,必要时也可以请专业医师对机械部分进行拆卸清洁,以防止滋生的细菌引发口腔疾病,影响到种植牙的寿命。
3、饮食生活和习惯:避免咬硬物,由于种植体与骨直接接触结合,没有天然牙的牙周膜所起的缓冲及力反馈的保护作用,过大的咬合力及不良的侧向力都会导致牙槽骨的吸收。在以后使用过程中也应避免咬硬物和韧性特别大的食物。如果在使用过程中发现有异常情况,如种植牙不慎受到外力的撞伤,种植牙松动、牙龈发红、疼痛、刷牙出血等,都应该及时就诊。
郑州唯美口腔种植牙技术推荐--"亲骨"种植技术
"亲骨"种植技术是根据自身牙体骨骼或以自身骨组织系数来定制骨粉,比起传统的人造骨粉,更加精确无误,而且生物相容性更好、更稳定牢固、愈合更迅速.由于3D口腔CT成像的直接应用,使"亲骨"种植技术大大的提高了。推荐阅读:郑州种植牙医院哪家好
种植牙有多长的使用寿命?以上就是郑州牙科医院郑州唯美口腔专家的介绍。种植牙的使用寿命除了选择好的种植体外,与日常的护理也有很大的关系。郑州唯美口腔积累了丰富的临床经验,精湛的技术队伍,温馨舒适的医疗环境,拥有高度负责的态度,为每一位患者制定适合的方案。如果还有不明白的地方,可在线咨询我们的专家。
豫公网安备 41010502002633号
免责声明:本网站近期将进行改版,网站所有内容及图片不做为任何法律依据。如有违反或者侵权,请及时联系更改。
网站医疗信息仅供参考,不能作为诊断及医疗依据 本网站内容部分来源转载于网络,不能作为任何法律依据!
请注意时效性,望知悉。如有违反或者侵权,请及时联系更正。