四环素牙怎样治疗好?变色的牙齿总是时刻影响着我们的心情,牙齿着色了不敢再随意的微笑,还要受到病菌的侵害。四环素牙是一种常见的牙齿变色情况,那么四环素牙怎样治疗好呢?下面跟随郑州知名口腔科专家来了解一下。
四环素牙怎样治疗好?中韩·唯美口腔专家解释道首先我么应该了解四环素牙的形成:四环素牙的形成是由于后天因素如服用含有四环素一类的药物,特别要注意的是,孕妇在怀孕期间如果服用四环素类的药物,这是会影响到胎儿的,会使得胎儿有可能患上四环素牙的,所以在怀孕期间饮食和用药要十分注意。四环素牙属于口腔疾病的一种,分为轻,中,重三种层次。社会当中很多人都有四环素牙现在,这是因为以前的医学用药有很多都含有四环素,而那时的医学和患者都没注意,导致现在很多大人和小孩黄牙,也就是医学上讲的四环素牙现象。四环素类药物对人体的钙离子有亲和作用,与钙结合生成一种黄色的稳定的四环素钙复合物。如果在牙冠发育钙化阶段服用这类药物,这种复合物就会沉积在牙本质中,使长出的牙齿发黄,并出现黄染现象,还会影响牙齿的钙化,导致牙釉质发育不全。推荐阅读:3D全瓷牙
专家告诉您:如果是重度的四环素牙,那么专家推荐使用3D全瓷牙,中韩·唯美口腔拥有的3D全瓷牙采用更高端的氧化锆材料,运用先进的CT三维数字扫描技术、电脑智能CAD/CAM系统设计,在短时间内根据患者的口腔条件、脸型、肤色,量身定做个性化全瓷牙修复美容方案。3D全瓷牙拥有完美的精密度;具有真牙相匹配的透光性,色泽逼真,可媲美自然牙;良好的生物相容性,对牙龈无刺激;强度绝佳,强度超出真牙,拥有卓越的咬合力量,无不良金属离子渗出,磨牙较少,更大程度地保留原有的牙齿组织,所以能达到更佳的美齿效果及与软组织的更舒适接触。点击在线咨询,了解全瓷牙的优惠信息!在线预约可享更多优惠!
中韩·唯美口腔牙齿美容专家推荐

艾西川,副主任医师,精湛技术:颌面外科、牙齿美容、1小时德国西诺德CAD/CAM3D齿雕全瓷修复。毕业于中国口腔著名学府——西安第四军医大学,原南京军区口外知名专家,郑州市口腔医院院长。从事口腔全科临床工作三十余年,对口腔内外科有丰富的临床经验,拥有万例成功案例。曾获市级科研成果奖两项,省级三项,多部专著被列为医大教材,在国内外知名刊物上发表专业论文20余篇,多次应邀参加国内外口腔大型研讨会,于口腔治疗方面有独到的治疗方法,深受客人好评。
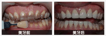
中韩·唯美口腔牙齿美容前后对比图

如果您还有想要了解的情况,可以点击我们的在线咨询,中韩·唯美口腔的在线专家会给您更专业,更详细的解答,或是拨打我们的24小时康复热线,与专家一对一详解。
相关感兴趣文章
豫公网安备 41010502002633号
免责声明:本网站近期将进行改版,网站所有内容及图片不做为任何法律依据。如有违反或者侵权,请及时联系更改。
网站医疗信息仅供参考,不能作为诊断及医疗依据 本网站内容部分来源转载于网络,不能作为任何法律依据!
请注意时效性,望知悉。如有违反或者侵权,请及时联系更正。