全瓷牙修复牙齿的效果好不好?漂亮牙齿,美丽人生。一口好牙离不开日常的精心呵护,但是有的时候牙齿难免会出现问题。这个时候只要选择牙齿美容就可以让我们重现漂亮牙齿。全瓷牙是美容牙齿常用的方法,那么全瓷牙修复牙齿的效果好不好?
中韩·唯美口腔专家介绍:全瓷牙修复牙齿的效果,在牙齿外观上表现得特别明显。色泽更接近于自然牙。不含任何金属,与空气水或者其他电解物接触时会迅速产生微氧化膜,有效避免细菌再生。此外,由于全瓷牙通透性好,对光线的反射更接近天然牙。其色泽、亮度、自然程度都要比普通烤瓷牙更接近于真牙。
全瓷牙修复后的牙齿生物相容性更好。特别是很多对金属有过敏反应女性求美者来说,全瓷牙生物相容性好,可完全排除过敏反应。全瓷牙由于内冠用瓷体材料,故修复后的牙齿,牙龈边缘无黑线,无厚重感,求美者不用担心金属离子渗出影响健康。
全瓷牙修复后的牙齿,适应范围更加广泛。与传统烤瓷牙修复相比,全瓷牙可以在口腔内适应症很广泛,严重的四环素牙、氟斑牙、畸形牙、变色牙及各种牙齿问题都可以通过全瓷牙来修复,是目前更为理想的一种牙列缺损修复方法。推荐阅读:3D全瓷牙
中韩·唯美口腔拥有的3D全瓷牙采用更高端的氧化锆材料,运用先进的CT三维数字扫描技术、电脑智能CAD/CAM系统设计,在短时间内根据患者的口腔条件、脸型、肤色,量身定做个性化全瓷牙修复美容方案。3D全瓷牙拥有完美的精密度;具有真牙相匹配的透光性,色泽逼真,可媲美自然牙;良好的生物相容性,对牙龈无刺激;强度绝佳,强度超出真牙,拥有卓越的咬合力量,无不良金属离子渗出,磨牙较少,更大程度地保留原有的牙齿组织,所以能达到更佳的美齿效果及与软组织的更舒适接触。点击在线咨询,了解全瓷牙的优惠信息!在线预约可享更多优惠!
中韩·唯美口腔牙齿美容专家推荐

艾西川,副主任医师,精湛技术:颌面外科、牙齿美容、1小时德国西诺德CAD/CAM3D齿雕全瓷修复。毕业于中国口腔著名学府——西安第四军医大学,原南京军区口外知名专家,郑州市口腔医院院长。从事口腔全科临床工作三十余年,对口腔内外科有丰富的临床经验,拥有万例成功案例。曾获市级科研成果奖两项,省级三项,多部专著被列为医大教材,在国内外知名刊物上发表专业论文20余篇,多次应邀参加国内外口腔大型研讨会,于口腔治疗方面有独到的治疗方法,深受客人好评。
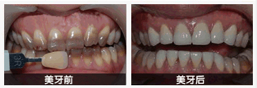
中韩·唯美口腔牙齿美容前后对比图

在线咨询,一分钟预约挂号,医务人员将会与您一对一进行沟通。中韩·唯美口腔拥有中国更专业的网上挂号平台,为您提供更便捷的预约就诊服务,为您推荐全国资质更深、技术更好的治疗专家,让你从此刻开始摆脱疾病的困扰。
相关感兴趣文章
豫公网安备 41010502002633号
免责声明:本网站近期将进行改版,网站所有内容及图片不做为任何法律依据。如有违反或者侵权,请及时联系更改。
网站医疗信息仅供参考,不能作为诊断及医疗依据 本网站内容部分来源转载于网络,不能作为任何法律依据!
请注意时效性,望知悉。如有违反或者侵权,请及时联系更正。