欢迎进入郑州市金水区唯美口腔

郑州唯美口腔医院周年庆预约专家

郑州唯美口腔医院周年庆在线咨询

郑州唯美口腔医院周年庆免费咨询热线 0371-55019113

网站首页 > 郑州牙齿修复 > 全瓷牙 >
郑州唯美口腔医院

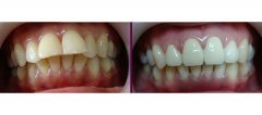
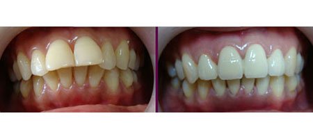
全瓷牙一般多少钱

来源 :郑州唯美口腔医院        时间:2014-11-04 09:56:11 进入专家答疑区 在线咨询 | 预约专家
  全瓷牙一般多少钱,牙齿出现问题会给人们的生活带来很大地危害,因此很多朋友为了避免牙齿不齐带来地危害,会进行全瓷牙,那么全瓷牙一般多少钱?牙齿修复的价格是多少呢?下面唯美口腔的专家就全瓷牙一般多少钱为您进行如下地介绍。
 
  郑州全瓷牙得优点,全瓷牙一般多少钱与您自身的情况相关。人们在进行牙齿修复的时候,需要根据自己牙齿的损害程度进行相应地方案,不同的方案其治疗的方法也是不相同的,不相同的治疗方法价格自会出现差异,因此全瓷牙一般多少钱与具体的情况有关系。
 
  全瓷牙一般多少钱与您所在区域也存在联系。如果您处于发展较快的区域,您的消费水平很高,那么您进行牙齿修复的价格自然也会有所提高,但是您所进行的设备相对也会先进一些,所以说全瓷牙一般多少钱与当地的消费水平也是分不开的。
 
  全瓷牙一般多少钱与您选择的医院也是有联系的,唯美口腔医院的专家提醒人们,更好选择正规的医院进行治疗,这样才能保证自己的治疗效果与您的健康,综合各种条件,唯美口腔医院是您可以信任地选择。推荐阅读<<<<郑州做全瓷牙一颗多少钱
 
  唯美口腔医院以人性化的服务理念为宗旨,引进当下十分先进地技术,聚集经验丰富地团队,温馨舒适地环境可以消除人们心中负面地因素,在我国,唯美口腔医院广泛地分布于多个省份,在专科方面一直加强建设,一起针对性强地特点,受到了很多朋友地信赖。
 
  看过上文关于“全瓷牙一般多少钱”地相关介绍,相信人们对于全瓷牙一般多少钱已经有了更深地了解,对于全瓷牙一般多少钱这样地问题,如果您还存在困惑地话,您可以与郑州口腔医院唯美口腔的专家进行在线咨询,唯美口腔医院的专家会竭诚为您服务。
 

浏览本篇文章的网友

27%
选择了:郑州唯美口腔医院
在线医师坐诊,快速悉知病情!
39%
选择了:郑州唯美口腔医院
在线医师坐诊,快速悉知病情!
分享到:郑州唯美口腔医院
郑州唯美口腔医院

扫一扫
把郑州唯美
加为好友

郑州唯美口腔医院

相关感兴趣文章

全瓷牙一般多少钱

全瓷牙一般多少钱

 全瓷牙一般多少钱,牙齿出现问题会给人们的生活带来很大地危害,因此很多朋友为了避免牙......[详情]

唯美品牌
郑州唯美口腔医院
  • 时间:10月20日
  • 摘要:唯美口腔加入郑州人民医院医疗集团
  • 地点:郑州唯美口腔
  • 详情 → 咨询 →
郑州唯美口腔医院
  • 时间:每周一、周五亲诊
  • 摘要:矫正专家亲诊
  • 地点:郑州唯美口腔
  • 详情 → 咨询 →
特邀专家

有牙齿困扰 在线找专家

专家热线:0371-55019113

专家团队
精彩专题
> 微创即刻种植牙
> 隐适美隐形矫正
> 360°彩光美白
> 超薄牙贴面
> 3D全瓷牙

豫公网安备 41010502002633号

免责声明:本网站近期将进行改版,网站所有内容及图片不做为任何法律依据。如有违反或者侵权,请及时联系更改。

网站医疗信息仅供参考,不能作为诊断及医疗依据 本网站内容部分来源转载于网络,不能作为任何法律依据!

请注意时效性,望知悉。如有违反或者侵权,请及时联系更正。