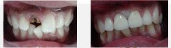
眼睛是心灵的窗户,牙齿是我们的第二张脸,尤其是门牙。和别人交谈的时候眼光停留更多的便是牙齿。因此牙齿对于我们人际交往的是非常重要的,不少人为门牙不齐而非常自卑懊恼,感觉旧的观念是必须得带牙套矫正,所以都没有进行门牙的矫正,其实牙套矫正是传统的矫正技术,如今的美容冠对龅牙、虎牙门牙等都可以进行修复,只需7天就可以改变门牙不齐的症状。

门牙不齐怎么办?美容冠7天见证奇迹时刻妆点你的美
美牙冠为近年由欧美引入的新兴美齿技术,针对成人,对龅牙、排列歪斜牙、畸形牙以及色素牙,可彻底、快速矫正修复,无需拔牙,全程无痛。只需要1小时就能让你的牙齿达到整齐洁白的效果,牙龈终身不出现黑线,达到一辈子的美牙效果。
美牙冠在不损伤牙齿、牙龈的前提下根据牙槽骨的形态对牙齿做修整,仅对不整齐的凸出部位进行精细打磨,无需拨牙。美牙冠具有美牙不拔牙,无痛苦,时间短,牙齿坚固,多年后牙龈不会出现黑线等优点,从而达到终生有保障的美牙效果。
1、更坚固
由于美容冠采用的材料都是金属和陶瓷粉在高温下熔融结合在一起的,因此牙齿的强度是非常高的。比以前的传统烤瓷牙更坚固,更新科技的粘贴技术,终生不脱落。
2、适用广
美容冠能修复因外力或者是自身的力量造成的缺牙、断牙,患者可以要求颜色,通过美容冠修复的牙齿不仅颜色和原有的一样,而且具有牙齿的光泽,让人分辨不出牙齿的真假。另外,还可以用于修复变色、氟斑、釉质发育不全、锥形和部分缺损的前牙,对后牙大面积缺损修补后无法恢复牙齿形态等情况,也可以通过这一技术来恢复牙齿的本来面目。
3、寿命长
美容冠牙齿牢固而且持续时间长久,能够用更小的牙齿损伤带来更大程度的恢复和及效果。牙齿只需要进行很少的牙齿组织大概零点五毫米左右。这就有效的幸免了细菌造成的快速蛀牙现象。推荐阅读:矫正牙齿不齐方法有哪些
4、外观好
牙齿美容冠采用3D数码定位技术,对牙齿的自然形态和颜色全面分析,根据牙冠、牙根、牙颈三部分形态,再结合专业牙齿美容医师的检测,制定出更适合你的牙齿美容方案,成形后的牙齿美观大方色泽更逼真。
门牙不齐应该及时到正规的专业的牙科医院就诊,不要耽误了就诊时间。以上是关于“门牙不齐怎么办”的介绍,想必您已经有了详细的了解,如果您有门牙不齐方面的口腔问题,请咨询郑州唯美口腔医院在线专家,专家会为您答疑。
相关感兴趣文章
豫公网安备 41010502002633号
免责声明:本网站近期将进行改版,网站所有内容及图片不做为任何法律依据。如有违反或者侵权,请及时联系更改。
网站医疗信息仅供参考,不能作为诊断及医疗依据 本网站内容部分来源转载于网络,不能作为任何法律依据!
请注意时效性,望知悉。如有违反或者侵权,请及时联系更正。