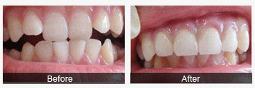
河南整形医院牙齿纠正怎么样,生活中有很多朋友的门牙都会出现前突的现象,而这种牙齿会非常影响一个人的美观,会使得患者在讲话的时候都显得不自然,这样就会给交谈的人留下不好的印象,所以门牙前突是一定要治疗的,那么门牙前突如何矫正效果更佳?

专家介绍:门牙前突是指上颌牙突出,有时会使嘴唇突出很严重,这种面部畸形不但影响美观,还会对咀嚼造成不便,产生漏气等等一些问题。
所以矫治门牙前突已经成为一种常见的现象,对于儿童时期门牙前突的矫治可以采用戴矫正器,纠正不良口腔习惯等方法。但对于成年人,门牙前突的矫治就不是单纯的矫正问题了,往往需要整形美容手术并结合常规的矫正治疗才能获得理想的效果。因为成年人,骨骼发育齐全,如果用传统的牙齿矫正,会有反弹的现象。
美牙冠由于其技术的精密性,突破成年人因颌骨畸形无法使用牙套矫正或传统正畸技术矫正的难题。从根本上解决了骨性牙齿畸形,牙齿不齐,一次性完全矫正好牙齿前突的问题,长期保持效果不复发。这种技术矫正门牙前突效果更佳。
技术解析--仿生美容冠
郑州唯美3d仿生美容冠,引进全新牙冠修复技术,采用上乘仿生全瓷材料,中韩专家联袂亲诊,个性化定制美牙方案,纯自然光牙色对比,为快速矫正成人畸形牙提供多种修复方案,效果美观自然,坚固耐用。
郑州唯美“美容冠”技术具有美牙不拔牙,不伤牙齿、牙龈,无不良反应,多年后牙龈不易出现黑线等优点,全程无痛,高效快捷,采用德国3D齿雕系统,美容冠从取模--设计--制作-安装到试戴整个安装过程,一气呵成,用时只需1小时。治疗后牙色真实自然,持久不变色,坚固耐磨,如按医嘱进行保养,可相伴终生。
【郑州唯美口腔整合口腔诊疗优势,打造属于美齿健康会所】
郑州唯美口腔医院是一家专业的口腔医院,秉承先进的口腔服务和经营理念,打造郑州好的口腔美白医院.唯美口腔经过多年发展,已成为郑州地区水准的现代化大型口腔医院,集预防、保健、治疗、美容、整形、修复为一体,拥有精湛的医疗技术的科室、专业的医疗团队,形成以郑州为中心,辐射周边的医疗影响力。
河南整形医院牙齿纠正怎么样,如果您对以上的内容,还有任何不明白的地方,欢迎点击在线咨询,与专家进行一对一交流,同时网上咨询预约,还可享免挂号费,无需排队优先就诊服务。
相关感兴趣文章
豫公网安备 41010502002633号
免责声明:本网站近期将进行改版,网站所有内容及图片不做为任何法律依据。如有违反或者侵权,请及时联系更改。
网站医疗信息仅供参考,不能作为诊断及医疗依据 本网站内容部分来源转载于网络,不能作为任何法律依据!
请注意时效性,望知悉。如有违反或者侵权,请及时联系更正。