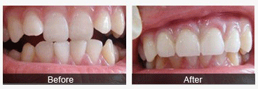
矫正牙齿需要拔四颗牙危害性,牙齿矫正是一种通过外力使牙齿恢复站列整齐的方法,原本歪歪斜斜的牙齿,要恢复到正常站立的位置,是需要空间的。如果是牙齿稀疏,一般是不用拔牙;如果是牙齿拥挤,那么就需要拔除需要拔除的牙齿以便腾出空间,让站立不齐的牙齿有排列的空间,矫正的复位效果,才能达到更好。那么矫正牙齿需要拔四颗牙危害性?

郑州唯美口腔医院专家介绍说,牙齿矫正需要拔牙,是正常的,医生首先会选择的是病牙和对咀嚼功能影响更小的牙,而且上颌,下颌整体考虑,有一个详尽的设计方案,可能达到什么样的结果等。对于需要拔除牙齿的患者,一般不会影响咀嚼等功能的,而且,通过矫正,咬合关系将会变得更好,牙齿的功能反而增强了,美观更好,牙齿的寿命也会延长,因此,牙齿矫正拔牙是不会有危害的,可以不必太过于担心。
虽然牙齿矫正拔四颗牙没有危害,但是牙齿矫正本身就是一项技术含量很高的治疗方法,所以要想矫治后牙齿达到美观稳定协调的目标,建议选择到正规专业的口腔医院,找有正畸治疗技术资格的正畸医生是很有必要的。
郑州唯美口腔医院作为口腔知名连锁品牌,唯美口腔依托大韩口腔医师协会强大的专家及资源背景,秉承中韩合作的核心理念,立足本土化运营连锁发展,在技术引进、设备采购、专家资源共享、学术交流等领域通过跨国、跨行业全面合作和资源共享,开发出一套针对适合中国人群而设计的集口腔保健、口腔美容、口腔治疗、口腔正畸、口腔服务为一体的现代化医疗服务模式模式。
同时,唯美口腔数次斥巨资从国外引进口腔全景机、西诺德3d瓷睿刻等先进设备,以确保诊疗技术与接轨。经过努力,郑州唯美口腔已发展成为郑州口腔治疗领域的领导性品牌牙科。
矫正牙齿需要拔四颗牙危害性,如果您对以上的内容,还有任何不明白的地方,欢迎点击在线咨询,与专家进行一对一交流,同时网上咨询预约,还可享免挂号费,无需排队优先就诊服务。
相关感兴趣文章
豫公网安备 41010502002633号
免责声明:本网站近期将进行改版,网站所有内容及图片不做为任何法律依据。如有违反或者侵权,请及时联系更改。
网站医疗信息仅供参考,不能作为诊断及医疗依据 本网站内容部分来源转载于网络,不能作为任何法律依据!
请注意时效性,望知悉。如有违反或者侵权,请及时联系更正。