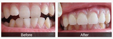
矫正牙齿拔四颗牙会有危害吗,有些时候做矫正牙齿要拔掉四颗牙,很多想做牙齿矫正的人担心拔这么多牙会对身体造成伤害,那么,矫正牙齿拔四颗牙到底会不会有危害呢?

郑州更好的牙科医院郑州唯美口腔医院专家介绍说,牙齿矫正是一种通过外力使牙齿恢复站列整齐的方法,原本歪歪斜斜的牙齿,要恢复到正常站立的位置,是需要空间的。如果是牙齿稀疏,一般是不用拔牙;如果是牙齿拥挤,那么就需要拔除需要拔除的牙齿以便腾出空间,让站立不齐的牙齿有排列的空间,矫正的复位效果,才能达到更好。
牙齿矫正拔四颗牙有危害吗?
牙齿矫正需要拔牙,是正常的,医生首先会选择的是病牙和对咀嚼功能影响更小的牙,而且上颌,下颌整体考虑,有一个详尽的设计方案,可能达到什么样的结果等。对于需要拔除牙齿的患者,一般不会影响咀嚼等功能的,而且,通过矫正,咬合关系将会变得更好,牙齿的功能反而增强了,美观更好,牙齿的寿命也会延长,因此,牙齿矫正拔牙是不会有危害的,可以不必太过于担心。
虽然牙齿矫正拔四颗牙没有危害,但是牙齿矫正本身就是一项技术含量很高的治疗方法,所以要想矫治后牙齿达到美观稳定协调的目标,建议选择到正规专业的口腔医院,找有正畸治疗技术资格的正畸医生是很有必要的。
郑州唯美口腔医院推荐--韩式隐形正畸
郑州唯美口腔率先引进的韩式隐形正畸技术继承了传统的牙颌畸形矫治的理念,是现代口腔医学、计算机辅助四维诊断、个性化设计及数字化成型技术的完美结合,是正畸领域的新突破。韩式隐形正畸由中韩齿科专家联合坐诊,实现全程无痛无创快速疗法,专门治疗各种牙齿排列不整齐,咬合错位等牙齿形态问题,还你一口整齐、坚固耐用的健康原牙。
该技术是完全个性化的设计理念,可根据正畸者的情况佩带不同的矫治器,完全不影响正畸者的生活。具有隐形高效,稳定美观的特点,并且大大地缩短了疗程,使治疗时间缩短近三分之一,复诊时间缩短二分之一,为正畸者大大节省了时间,透明隐形正畸矫正矫治器厚度不到1mm,透明、光滑、舒适,无异物感和粘膜刺激,是目前更受欢迎和信赖的美齿项目。推荐阅读:矫正牙齿的时间有多长?
郑州唯美口腔医院,私立口腔,品质保障
郑州唯美口腔医院是一家集医疗、教学、科研为一体的国家私立医院,口腔中心作为医院重点科室更是经过多年实施规范化管理,引进专业技术人才和先进设备,同时医院收费价格都是严格执行国家规定的收费标准进行收费,所以费用方面要比其它营利性机构价格低,实质性地帮助百姓节省医疗开支。
矫正牙齿拔四颗牙会有危害吗,如果您对以上的内容,还有任何不明白的地方,欢迎点击在线咨询,与专家进行一对一交流,同时网上咨询预约,还可享免挂号费,无需排队优先就诊服务。
相关感兴趣文章
豫公网安备 41010502002633号
免责声明:本网站近期将进行改版,网站所有内容及图片不做为任何法律依据。如有违反或者侵权,请及时联系更改。
网站医疗信息仅供参考,不能作为诊断及医疗依据 本网站内容部分来源转载于网络,不能作为任何法律依据!
请注意时效性,望知悉。如有违反或者侵权,请及时联系更正。