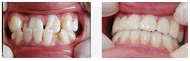
女人40岁还能牙齿整形手术,矫正牙齿还有必要吗?这是一个牙齿畸形女士的心声,情况是这样的:

郑州更好的口腔医院家住金水区的王女士如今年过40岁了,时光的苍老在王女士的面容上刻下了深深的痕迹,不变的就是她的牙齿畸形问题。人到中年再加上牙齿不好,让她在同年女性中看起来像老了10岁,现在王女士很想改变自己的牙齿畸形问题。那么40岁还能矫正牙齿吗?
专家介绍说,我们都知道,12----18岁是牙齿矫正的黄金时期,但是这并不是意味着成年人就不能矫正牙齿。随着现代口腔医学技术的进步,大量成年人成功矫正牙齿的案例说明,只要牙周条件好,40岁、50岁、60岁的人一样可以矫正牙齿,只是成人矫正牙齿的时间较未成年人来说略长,一般需要1---2年左右。
那么,40岁矫正牙齿有哪些方法呢?专家指出,目前牙齿矫正有两方式,一种是牙齿正畸,一种是美容冠矫正。
牙齿正畸,也就是我们常说的戴牙套,主要是通过外力的作用慢慢将牙齿移到相应的位置,实现牙齿“立正”,矫正过程中无需磨牙,能更大限度的保留原牙,只是矫正时间略长,需要1—2年左右。
目前,牙齿正畸已经不再局限于传统的“钢牙”,出现了大量美观、减少矫正时间的隐形矫正,韩式隐形正畸是欧洲齿科材料的巅峰之作,采用高弹性纳米材料分子,完全透明隐形,隐蔽性极好,且可以自行摘带矫正器,方便清洁,矫治疗程缩短将近三分之一的时间。可以实现隐形矫牙的梦想,毫无察觉间让牙齿“悄然”变美。推荐阅读:隐形矫治时间有多长?
郑州唯美口腔医院美容冠矫正,是一种新型的牙齿矫正方法,矫正时间快,只需7天,全程无需拔牙、安全无痛,尤其适合对时间要求高、牙齿美观度高的人群。
女人40岁还能牙齿整形手术?答案是肯定的!以上就是我院专家关于这一问题的相关介绍,如果您还有任何问题或想了解更多,欢迎点击在线咨询或拨打24小时免费咨询热线。
相关感兴趣文章
豫公网安备 41010502002633号
免责声明:本网站近期将进行改版,网站所有内容及图片不做为任何法律依据。如有违反或者侵权,请及时联系更改。
网站医疗信息仅供参考,不能作为诊断及医疗依据 本网站内容部分来源转载于网络,不能作为任何法律依据!
请注意时效性,望知悉。如有违反或者侵权,请及时联系更正。