牙齿不齐做整形手术得多少钱,牙齿是我们的第二张脸,一口畸形牙对于口腔健康和美观都有不小的影响。面对牙齿不齐目前更好的方法就是牙齿矫正术了,当然牙齿矫正术的价格自然也逃不过求美者的视线。其实对于牙齿不齐矫正的价格是有浮动的,没有统一的标准,因为是受到多种综合因素的影响的。下面就听听郑州唯美口腔医院专家的介绍。

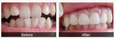
郑州口腔医院隐适美牙齿矫正 恢复完美形态
隐适美通过一系列透明的,可自行摘戴的无托槽隐形矫正器矫正您的牙齿,不使用牙套和托槽的金属弓丝,每两周更换一副的无托槽隐形矫治器,每个矫治器均在精确计算后逐个生产以便逐步将牙齿矫正到理想位置。它能够在不影响日常生活的前提下使您拥有完美笑容的更佳途径。
美容冠治齿、矫齿、美齿一举三得
美容冠是一种目前流行于欧美日韩的新兴牙齿美容技术,该技术在传统烤瓷牙的基础上强调牙齿的美容效果,针对成人错位牙、畸形牙及中重四环素牙、氟斑牙、黄牙、遗传性色素牙美白牙齿技术等临床冠部分施以专业手段,更后用美容冠加以修复。具有美牙不拔牙,无痛苦,只要七天来院两次即可,牙齿坚固,多年后牙龈不会出现黑线等优点,从而达到终生有保障的美牙效果。而氧化锆美容冠具有极高的品质,说其品质高不仅因为其材料,设备昂贵,更因为其运用了当今更先进的计算机辅助设计、激光扫描,再由计算机程序控制研磨制作而成,尽显完美。推荐阅读:隐形矫治时间有多长?
选择一家专业的医疗机构专家提醒首先要选择正规专业的整容医疗机构。去不正规医疗机构整容是有很大风险的,如果手术出了问题或者手术效果不满意,常常会出现事后不负责的情况。为了将危险系数降到更低,选择正规专业的整容医疗机构是步。而一个医疗机构的口碑也是很重要的,通常口碑好的医疗机构不但有一流的整容技术,在服务这块也是做的很好的,这样才能赢得客户的好口碑。
【郑州唯美口腔整合口腔诊疗优势,打造属于美齿健康会所】
郑州唯美口腔医院是一家专业的口腔医院,秉承先进的口腔服务和经营理念,打造郑州好的口腔美白医院.唯美口腔经过多年发展,已成为郑州地区水准的现代化大型口腔医院,集预防、保健、治疗、美容、整形、修复为一体,拥有精湛的医疗技术的科室、专业的医疗团队,形成以郑州为中心,辐射周边的医疗影响力.
牙齿不齐做整形手术得多少钱,如果您对以上的内容,还有任何不明白的地方,欢迎点击在线咨询,与专家进行一对一交流,同时网上咨询预约,还可享免挂号费,无需排队优先就诊服务。
相关感兴趣文章
豫公网安备 41010502002633号
免责声明:本网站近期将进行改版,网站所有内容及图片不做为任何法律依据。如有违反或者侵权,请及时联系更改。
网站医疗信息仅供参考,不能作为诊断及医疗依据 本网站内容部分来源转载于网络,不能作为任何法律依据!
请注意时效性,望知悉。如有违反或者侵权,请及时联系更正。