25岁做牙齿矫正还可以吗,25岁了,但是想牙齿有些不整齐,所以想进行矫正,但又怕错过了牙齿矫正的时间,不能再进行矫正了,那么,25岁做牙齿矫正还可以吗?

郑州更好的牙科医院郑州唯美口腔医院专家说,牙齿矫正对于成年人都是可以做的。但是成年人在牙齿矫正上与儿童牙齿矫正存在一定的区别,它矫正的时间稍微长一点,而且成年人更多地会考虑到整体容貌的问题。但是成年人在牙齿矫正上也存在一定优势,主要在于成年人在牙齿矫正过程中配合度较高,能与医生较好配合完成牙齿矫正,所以25岁还可以做牙齿矫正的。
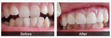
郑州唯美口腔医院引进的隐形正畸,是当前口腔正畸学领域中的一项高新科技技术。相对于传统牙颌畸形矫正器而言,隐形矫治技术不需要托槽和钢丝,使矫治过程几乎在旁人无察觉中完成,不影响日常生活和社交。其舒适的矫治过程、方便快捷的矫治方式、隐形的矫治效果,逐步成为口腔矫正界新的时尚潮流。
韩式隐形正畸是欧洲齿科材料的巅峰之作,采用高弹性纳米材料分子,完全透明隐形,隐蔽性极好,且可以自行摘带矫正器,方便清洁,矫治疗程缩短将近三分之一的时间。可以实现隐形矫牙的梦想,毫无察觉间让牙齿“悄然”变美。
韩式隐形正畸6大优势
1、领先的纳米级透明隐形材料:矫正器采用纳米技术研制,材料小巧迷你,透明无色。使用时不易沾染食物,不易变色,让你摆脱牙箍烦恼。
2、业内超低的拔牙率(3%以下):与行业50%的拔牙率相比,韩式隐形正畸凭借先进的矫正技术,将拔牙率控制在3%以内。推荐阅读:矫正牙齿的费用是多少?
3、全球首创的四维矫正技术,精细化矫正:韩式隐形正畸运用四维矫正先进技术,不仅能做到立体化矫正,还能随时间的变化与矫正角度完美结合,不断改善脸型。
4、牙齿矫正与脸型的完美结合:韩式隐形正畸采用四维矫正技术指定牙齿矫正过程,结合三庭五眼,制成科学理想的矫正过程,以保证达到理想预定效果。
5、全程安全舒适无异物感:相对于传统矫正,韩式隐形正畸更加轻松舒适,避免使用矫治器出现的异物感和其他不适。
6、高效便捷 矫正时间缩短一半:韩式隐形正畸相对传统矫正治疗时间更短,复诊间隔次数更少,比传统矫正缩短一半的时间。
郑州唯美口腔医院是种植牙、矫正牙齿、牙齿美白、牙齿修复基地。汇聚中韩知名口腔专家,以更好的材料一流设备,集治疗、美容、修复为一体,不断坚持“以以患者呼声为信号,以病人满意为标准”的经营理念,在不断引进高素质人才、高科技设备、提供高标准服务的基础上,致力为患者服务。
25岁做牙齿矫正还可以吗,如果您对以上的内容,还有任何不明白的地方,欢迎点击在线咨询,与专家进行一对一交流,同时网上咨询预约,还可享免挂号费,无需排队优先就诊服务。
相关感兴趣文章
豫公网安备 41010502002633号
免责声明:本网站近期将进行改版,网站所有内容及图片不做为任何法律依据。如有违反或者侵权,请及时联系更改。
网站医疗信息仅供参考,不能作为诊断及医疗依据 本网站内容部分来源转载于网络,不能作为任何法律依据!
请注意时效性,望知悉。如有违反或者侵权,请及时联系更正。