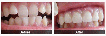
牙齿矫正可以不带牙套吗,虽然可以矫正牙齿,但是却要顶着难听的绰号度过每一天,所以人们就会认为牙齿矫正很难看,就去不矫正,对于以前的牙齿矫正,更多的是金属的牙套,尤其是矫正是一个漫长的准备过程,很多人都会难以忍受。那么,牙齿矫正可以不带牙套吗?下面听听郑州唯美口腔医院专家的介绍。

郑州牙科医院种:隐形矫正技术,是采用高分子材料所制成的透明矫治器,改变了传统正畸过程中“钢丝铁牙”的局面,能在无钢丝、无托槽的状态下完成牙齿矫正。这种方法能在佩戴牙套矫正牙齿的同时不影响美观,并且可自行摘带,不影响社交、进食、运动等让治疗者在不知不觉中矫正牙齿,恢复正常的颌面形态,真正满足了人们既矫正牙齿又不影响美观的需求。推荐阅读:矫正牙齿的费用是多少?
第二种:仿生冠牙齿矫正技术。“仿生冠”牙齿美容技术,是流行于欧美、日韩的一种新兴的牙齿美容技术。因结合4D数码定位、咬合运动数据,又称Cerec美牙“机器人”。其颠覆传统牙套矫正、突破烤瓷弊端,结合生态美学、齿科修复技术,由技术认证专家配合高精设备、无痛技术操作,不仅调整咬合,更强调牙齿结构完整、色泽自然、整体协调,与口腔高度生物相容性,具有无痛、不拔牙、不戴牙套、不伤牙根、坚固强韧、终生不出现黑线等优势。多人都会难以忍受。那么,牙齿矫正可以不带牙套吗?
【郑州唯美口腔整合口腔诊疗优势,打造属于美齿健康会所】
郑州唯美口腔医院是一家专业的口腔医院,秉承先进的口腔服务和经营理念,打造郑州好的口腔美白医院.唯美口腔经过多年发展,已成为郑州地区水准的现代化大型口腔医院,集预防、保健、治疗、美容、整形、修复为一体,拥有精湛的医疗技术的科室、专业的医疗团队,形成以郑州为中心,辐射周边的医疗影响力.
牙齿矫正可以不带牙套吗,如果您对以上的内容,还有任何不明白的地方,欢迎点击在线咨询,与专家进行一对一交流,同时网上咨询预约,还可享免挂号费,无需排队优先就诊服务。
相关感兴趣文章
豫公网安备 41010502002633号
免责声明:本网站近期将进行改版,网站所有内容及图片不做为任何法律依据。如有违反或者侵权,请及时联系更改。
网站医疗信息仅供参考,不能作为诊断及医疗依据 本网站内容部分来源转载于网络,不能作为任何法律依据!
请注意时效性,望知悉。如有违反或者侵权,请及时联系更正。